Submitted:
14 August 2023
Posted:
14 August 2023
Read the latest preprint version here
Abstract
Keywords:
1. Introduction
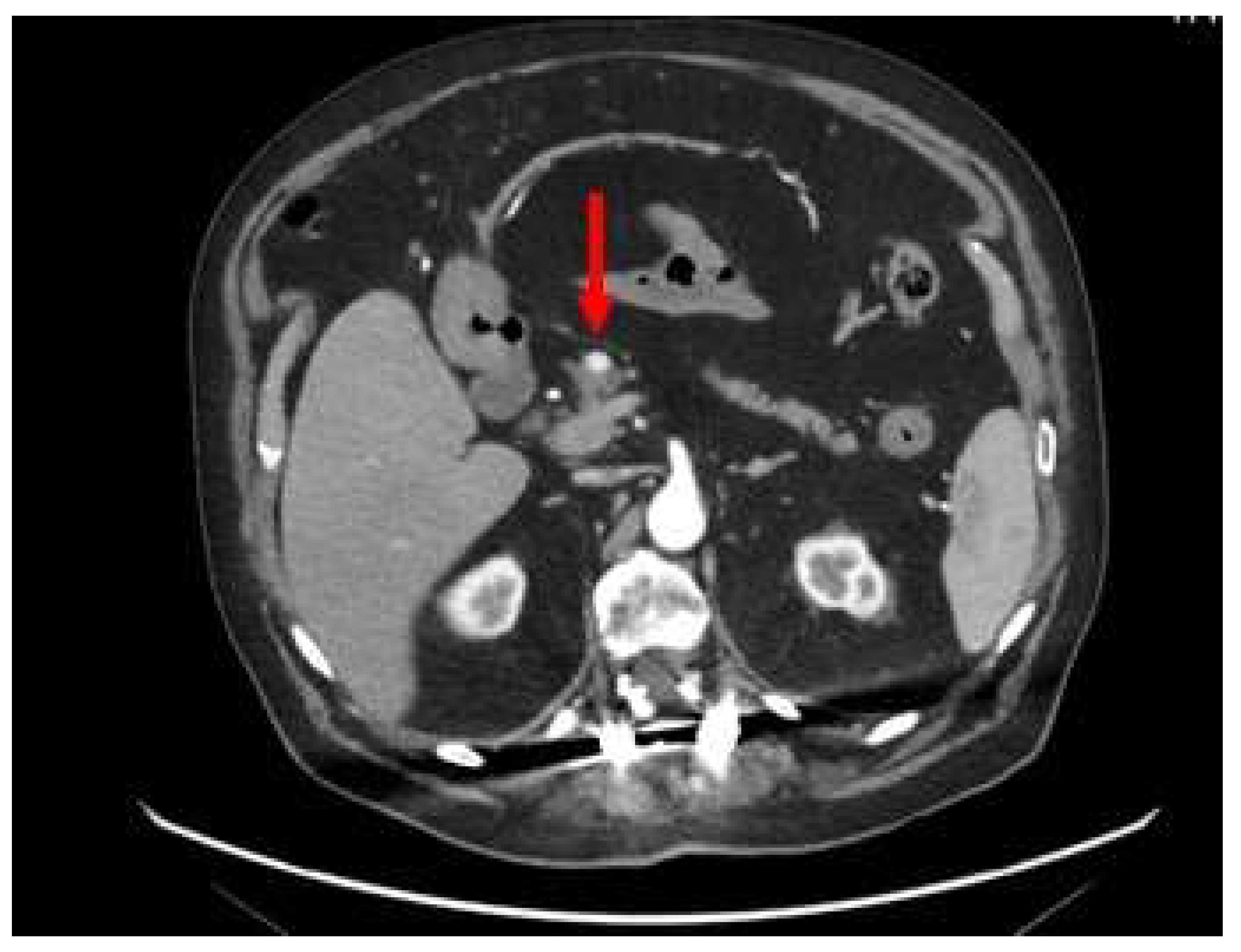
2. Case-report
3. Review of the Literature
- Insulinomas, the commonest functional P-NETs, which may appear as a part of MEN1, are associated with overproduction of insulin leading to Whipple’s triad (symptoms of hypoglycemia, plasma glucose levels <40 mg/dL, and relief of symptoms with glucose administration for diagnosis).
- Gastrinomas, or Zollinger Ellison syndrome, are responsible of symptoms of gastric acid hypersecretion, such as abdominal pain, diarrhea, esophageal symptoms. Twenty-five percent of gastrinomas are associated with MEN-1 syndrome. Nearly 70% of gastrinomas occurs in duodenum, nearly 25% in pancreas, nearly 5% in other sites.
- Pancreatic polypeptide-secreting tumors are not characterized by a clinical syndrome, but are associated with weight loss, jaundice, and abdominal pain.
- VIPomas, or Verner-Morrison syndrome, are responsible of large volume watery diarrhea, hypokalemia and reduced gastric acid secretion, with or without facial flushing.
- Glucagonomas are exclusively pancreatic NENs, overproducing the counterregulatory hormone glucagon. Patients with glucagonomas typically present with necrolytic migratory erythema, weight loss, new onset diabetes mellitus, anemia, thromboembolism and depression.
- Somatostatinomas are the least common NETs, primarily located in the pancreas and duodenum. Most symptoms are nonspecific, such as abdominal pain, weight loss and achlorhydria. Few patients may present with somatostatinomas syndrome, characterized by diabetes mellitus, steatorrhea and cholelithiasis.
4. Discussion
Author Contributions
Funding
Institutional Review Board Statement
Informed Consent Statement
Data Availability Statement
Conflicts of Interest
List of Acronyms
| APUD | Amine Precursor Uptake and Decarboxylation |
| CgA | Chromogranin A |
| CHD | Carcinoid heart disease |
| Cr | Creatinine |
| CT | Computed tomography |
| CRP | C-reactive protein |
| eGFR | Estimated glomerular filtration rate |
| ENETS | European Neuroendocrine Tumor Society |
| EUS-FNA | Endoscopic ultrasound with fine-needle aspiration |
| EUS-FNB | Endoscopic ultrasound with fine-needle biopsy |
| FAST | Focused Assessment with Sonography in Trauma |
| 68Ga-DOTA-NOC | gallium-68-DOTA-Nal3-octreotide |
| 68Ga-DOTA-TATE | gallium-68-DOTA-Tyr3-octreotate |
| 68Ga-DOTA-TOC | gallium-68-DOTA-Tyr3-octreotide |
| GEP-NEN | Gastroenteropancreatic neuroendocrine neoplasm |
| GEP-NET | Gastroenteropancreatic neuroendocrine tumor |
| HGT | Hemo Glucose Test |
| 5-HIAA | 5-hydroxyindoleacetic acid |
| 5-HT | serotonin |
| INSM1 | insulinoma-associated protein 1 |
| MEN-1 | Multiple endocrine neoplasia 1 |
| MiNEN | Mixed neuroendocrine-non-neuroendocrine neoplasm |
| MRI | Magnetic resonance imaging |
| NF-P-NET | Non-functional pancreatic neuroendocrine tumor |
| NEC | Neuroendocrine carcinoma |
| NEN | Neuroendocrine neoplasm |
| NET | Neuroendocrine tumor |
| NSE | Neuron-specific enolase |
| P-NET | Pancreatic neuroendocrine tumor |
| PAD | Peripheral artery disease |
| PET | Positive emission tomography |
| PPi | Proton pomp inhibitor |
| SaO2 | Oxygen saturation |
| SSA | Somatostatin analogue |
| SSTR | Somatostatin receptor |
| TNM | Tumor-nodes-metastasis-based staging |
| UICC | 2017 Union for International Cancer Control |
| VHL | von Hippel-Lindau syndrome |
| VIP | Vaso-active intestinal peptide |
| WHO | World health organization |
References
- Yao, J. C.; Hassan, M.; Phan, A.; Dagohoy, C.; Leary, C.; Mares, J. E.; Abdalla, E. K.; Fleming, J. B.; Vauthey, J. N.; Rashid, A.; Evans, D. B. One hundred years after "carcinoid": epidemiology of and prognostic factors for neuroendocrine tumors in 35,825 cases in the United States. Journal of clinical oncology : official journal of the American Society of Clinical Oncology 2008, 26(18), 3063–3072. [Google Scholar] [CrossRef]
- Das, S.; Dasari, A. Epidemiology, Incidence, and Prevalence of Neuroendocrine Neoplasms: Are There Global Differences? Current oncology reports 2021, 23(4), 43. [Google Scholar] [CrossRef]
- Leoncini, E.; Boffetta, P.; Shafir, M.; Aleksovska, K.; Boccia, S.; & Rindi, G. Increased incidence trend of lowgrade and high-grade neuroendocrine neoplasms 2017 Endocrine, 58(2), 368–379. [CrossRef]
- Pavel, M.; Öberg, K.; Falconi, M.; Krenning, E. P.; Sundin, A.; Perren, A.; Berruti, A.; ESMO Guidelines Committee. Gastroenteropancreatic neuroendocrine neoplasms: ESMO Clinical Practice Guidelines for diagnosis, treatment and follow-up. Annals of oncology : official journal of the European Society for Medical Oncology 2020 31(7), 844–860. [CrossRef]
- Dasari, A.; Shen, C.; Halperin, D.; Zhao, B.; Zhou, S.; Xu, Y.; Shih, T.; Yao, J. C. Trends in the Incidence, Prevalence, and Survival Outcomes in Patients With Neuroendocrine Tumors in the United States. JAMA oncology, 2017 3(10), 1335–1342. [CrossRef]
- Clement, D.; Ramage, J.; Srirajaskanthan, R. Update on Pathophysiology, Treatment, and Complications of Carcinoid Syndrome. Journal of oncology 2020, 8341426. [Google Scholar] [CrossRef]
- Metz, D. C.; Jensen, R. T. Gastrointestinal neuroendocrine tumors: pancreatic endocrine tumors. Gastroenterology 2008, 135(5), 1469–1492. [Google Scholar] [CrossRef] [PubMed]
- Garcia-Carbonero, R.; Capdevila, J.; Crespo-Herrero, G.; Díaz-Pérez, J. A.; Martínez Del Prado, M. P.; Alonso Orduña, V.; Sevilla-García, I.; Villabona-Artero, C.; Beguiristain-Gómez, A.; Llanos-Muñoz, M. et al. Incidence, patterns of care and prognostic factors for outcome of gastroenteropancreatic neuroendocrine tumors (GEP-NETs): results from the National Cancer Registry of Spain (RGETNE). Annals of oncology : official journal of the European Society for Medical Oncology 2010 21(9), 1794–1803. [CrossRef]
- AIOM for Neuroendocrine Tumors Guide Line 2020. Accessed 15 July 2023 https://www.aiom.it/wp-content/uploads/2020/10/2020_LG_AIOM_Neuroendocrini.pdf.
- Ordóñez, N. G. Broad-spectrum immunohistochemical epithelial markers: a review. Human pathology 2013, 44(7), 1195–1215. [Google Scholar] [CrossRef] [PubMed]
- Moertel, C. G. Karnofsky memorial lecture. An odyssey in the land of small tumors. Journal of Clinical Oncology 1987, 5(10), 1502–1522. [Google Scholar] [CrossRef] [PubMed]
- Ito, T.; Igarashi, H.; Nakamura, K.; Sasano, H.; Okusaka, T.; Takano, K.; Komoto, I.; Tanaka, M.; Imamura, M.; Jensen, R. T.; Takayanagi, R.; Shimatsu, A. Epidemiological trends of pancreatic and gastrointestinal neuroendocrine tumors in Japan: a nationwide survey analysis. Journal of gastroenterology 2015, 50(1), 58–64. [Google Scholar] [CrossRef]
- Cho, M. Y.; Kim, J. M.; Sohn, J. H.; Kim, M. J.; Kim, K. M.; Kim, W. H.; Kim, H.; Kook, M. C.; Park, D. Y.; Lee, J. H.; et al. Current Trends of the Incidence and Pathological Diagnosis of Gastroenteropancreatic Neuroendocrine Tumors (GEP-NETs) in Korea 2000-2009: Multicenter Study. Cancer research and treatment 2012, 44(3), 157–165. [Google Scholar] [CrossRef]
- Scherübl, H.; Streller, B.; Stabenow, R.; Herbst, H.; Höpfner, M.; Schwertner, C.; Steinberg, J.; Eick, J.; Ring, W.; Tiwari, K.; et al. Clinically detected gastroenteropancreatic neuroendocrine tumors are on the rise: epidemiological changes in Germany. World journal of gastroenterology 2013, 19(47), 9012–9019. [Google Scholar] [CrossRef]
- White, B. E.; Rous, B.; Chandrakumaran, K.; Wong, K.; Bouvier, C.; Van Hemelrijck, M.; George, G.; Russell, B.; Srirajaskanthan, R.; Ramage, J. K. Incidence and survival of neuroendocrine neoplasia in England 1995-2018: A retrospective, population-based study. The Lancet regional health. Europe 2022, 23, 100510. [Google Scholar] [CrossRef]
- Nagtegaal, I. D.; Odze, R. D.; Klimstra, D.; Paradis, V.; Rugge, M.; Schirmacher, P.; Washington, K. M.; Carneiro, F.; Cree, I. A.; WHO Classification of Tumours Editorial Board. The 2019 WHO classification of tumours of the digestive system. Histopathology 2020, 76(2), 182–188. [Google Scholar] [CrossRef] [PubMed]
- Fernandez, C. J.; Agarwal, M.; Pottakkat, B.; Haroon, N. N.; George, A. S; Pappachan, J. M. Gastroenteropancreatic neuroendocrine neoplasms: A clinical snapshot. World journal of gastrointestinal surgery 2021, 13(3), 231–255. [Google Scholar] [CrossRef] [PubMed]
- Klöppel, G.; Perren, A.; Heitz, P. U. The gastroenteropancreatic neuroendocrine cell system and its tumors: the WHO classification. Annals of the New York Academy of Sciences 2004, 1014, 13–27. [Google Scholar] [CrossRef] [PubMed]
- Lloyd, R.V.; Osamura, R.Y.; Klöppel, G.; Rosai, J. WHO classification of tumours of endocrine organs, 2017 vol. 10. 4th ed. Lyon: International Agency for Research on Cancer.
- Modlin, I. M.; Lye, K. D.; Kidd, M. A 5-decade analysis of 13,715 carcinoid tumors. Cancer 2003, 97(4), 934–959. [Google Scholar] [CrossRef]
- Cives, M.; Strosberg, J. R. Gastroenteropancreatic neuroendocrine tumors. CA: a cancer journal for clinicians 2018 68(6), 471-487. [CrossRef]
- Turaga, K.K.; Kvols, L.K. Recent progress in the understanding, diagnosis, and treatment of gastroenteropancreatic neuroendocrine tumors. CA Cancer J Clin. 2011, 61(2), 113–32. [Google Scholar] [CrossRef]
- Zerbi, A.; Falconi, M.; Rindi, G.; Delle Fave, G.; Tomassetti, P.; Pasquali, C.; Capitanio, V.; Boninsegna, L.; Di Carlo, V.; AISP-Network Study Group. Clinicopathological features of pancreatic endocrine tumors: a prospective multicenter study in Italy of 297 sporadic cases. The American journal of gastroenterology 2010 105(6), 1421–1429. [CrossRef]
- Jensen, R. T.; Cadiot, G.; Brandi, M. L.; de Herder, W. W.; Kaltsas, G.; Komminoth, P.; Scoazec, J. Y.; Salazar, R.; Sauvanet, A.; Kianmanesh, R.; Barcelona Consensus Conference participants. ENETS Consensus Guidelines for the management of patients with digestive neuroendocrine neoplasms: functional pancreatic endocrine tumor syndromes. Neuroendocrinology 2012 95(2), 98–119. [CrossRef]
- Gade, A. K.; Olariu, E.; Douthit, N. T. Carcinoid Syndrome: A Review. Cureus 2020, 12(3), e7186. [Google Scholar] [CrossRef]
- Halperin, D. M.; Shen, C.; Dasari, A.; Xu, Y.; Chu, Y.; Zhou, S.; Shih, Y. T.; Yao, J. C. Frequency of carcinoid syndrome at neuroendocrine tumour diagnosis: a population-based study. The Lancet. Oncology 2017, 18(4), 525–534. [Google Scholar] [CrossRef]
- Mota, J. M.; Sousa, L. G.; Riechelmann, R. P. Complications from carcinoid syndrome: review of the current evidence. Ecancermedicalscience 2016, 10, 662. [Google Scholar] [CrossRef]
- Kvols L., K. Metastatic carcinoid tumors and the malignant carcinoid syndrome. Annals of the New York Academy of Sciences 1994, 733, 464–470. [Google Scholar] [CrossRef]
- Ahmed, M. Gastrointestinal neuroendocrine tumors in 2020. World journal of gastrointestinal oncology 2020, 12(8), 791–807. [Google Scholar] [CrossRef] [PubMed]
- Bhattacharyya, S.; Davar, J.; Dreyfus, G.; Caplin, M. E. Carcinoid heart disease. Circulation 2007, 116(24), 2860–2865. [Google Scholar] [CrossRef] [PubMed]
- Druce, M.; Rockall, A.; Grossman, A. B. Fibrosis and carcinoid syndrome: from causation to future therapy. Nature reviews. Endocrinology 2009, 5(5), 276–283. [Google Scholar] [CrossRef] [PubMed]
- Dobson, R.; Burgess, M. I.; Pritchard, D. M.; Cuthbertson, D. J. The clinical presentation and management of carcinoid heart disease. International journal of cardiology 2014, 173(1), 29–32. [Google Scholar] [CrossRef] [PubMed]
- Rubin de Celis Ferrari, A. C.; Glasberg, J.; Riechelmann, R. P. Carcinoid syndrome: update on the pathophysiology and treatment. Clinics (Sao Paulo, Brazil) 2018 73(suppl 1), e490s. [CrossRef]
- Russo, S.; Boon, J. C.; Kema, I. P.; Willemse, P. H.; den Boer, J. A.; Korf, J.; de Vries, E. G. Patients with carcinoid syndrome exhibit symptoms of aggressive impulse dysregulation. Psychosomatic medicine 2004, 66(3), 422–425. [Google Scholar] [CrossRef] [PubMed]
- Kohen, I.; Arbouet, S. Neuroendocrine carcinoid cancer associated with psychosis. Psychiatry (Edgmont (Pa. : Township)) 2008 5(6), 29–30.
- Nobels, A.; Geboes, K.; Lemmens, G. M. May depressed and anxious patients with carcinoid syndrome benefit from treatment with selective serotonin reuptake inhibitors (SSRIs)?: findings from a case report. Acta oncologica (Stockholm, Sweden) 2016 55(11), 1370–1372. [CrossRef]
- Tatsumoto, S.; Kodama, Y.; Sakurai, Y.; Shinohara, T.; Katanuma, A.; Maguchi, H. Pancreatic neuroendocrine neoplasm: correlation between computed tomography enhancement patterns and prognostic factors of surgical and endoscopic ultrasound-guided fine-needle aspiration biopsy specimens. Abdominal imaging 2013, 38(2), 358–366. [Google Scholar] [CrossRef] [PubMed]
- Grillo, F.; Albertelli, M.; Brisigotti, M. P.; Borra, T.; Boschetti, M.; Fiocca, R.; Ferone, D.; Mastracci, L. Grade Increases in Gastroenteropancreatic Neuroendocrine Tumor Metastases Compared to the Primary Tumor. Neuroendocrinology 2016, 103(5), 452–459. [Google Scholar] [CrossRef]
- Cree, I. A.; Tan, P. H.; Travis, W. D.; Wesseling, P.; Yagi, Y.; White, V. A.; Lokuhetty, D.; Scolyer, R. A. Counting mitoses: SI(ze) matters!. Modern pathology : an official journal of the United States and Canadian Academy of Pathology, Inc 2021 34(9), 1651–1657. [CrossRef]
- Huang, W.; Nebiolo, C.; Esbona, K.; Hu, R.; Lloyd, R. Ki67 index and mitotic count: Correlation and variables affecting the accuracy of the quantification in endocrine/neuroendocrine tumors. Annals of diagnostic pathology 2020, 48, 151586. [Google Scholar] [CrossRef]
- Rindi, G.; Mete, O.; Uccella, S.; Basturk, O.; La Rosa, S.; Brosens, L. A. A.; Ezzat, S.; de Herder, W. W.; Klimstra, D. S.; Papotti, M.; et al. Overview of the 2022 WHO Classification of Neuroendocrine Neoplasms. Endocrine pathology 2022, 33(1), 115–154. [Google Scholar] [CrossRef]
- Rosenbaum, J. N.; Guo, Z.; Baus, R. M.; Werner, H.; Rehrauer, W. M.; Lloyd, R. V. INSM1: A Novel Immunohistochemical and Molecular Marker for Neuroendocrine and Neuroepithelial Neoplasms. American journal of clinical pathology 2015, 144(4), 579–591. [Google Scholar] [CrossRef]
- Maleki, Z.; Nadella, A.; Nadella, M.; Patel, G.; Patel, S.; Kholová, I. INSM1, a Novel Biomarker for Detection of Neuroendocrine Neoplasms: Cytopathologists' View. Diagnostics (Basel, Switzerland) 2021 11(12), 2172. [CrossRef]
- Atiq, M.; Bhutani, M. S.; Bektas, M.; Lee, J. E.; Gong, Y.; Tamm, E. P.; Shah, C. P.; Ross, W. A.; Yao, J.; Raju, G. S.; et al. EUS-FNA for pancreatic neuroendocrine tumors: a tertiary cancer center experience. Digestive diseases and sciences 2012, 57(3), 791–800. [Google Scholar] [CrossRef] [PubMed]
- Larghi, A.; Capurso, G.; Carnuccio, A.; Ricci, R.; Alfieri, S.; Galasso, D.; Lugli, F.; Bianchi, A.; Panzuto, F.; De Marinis, L.; et al. Ki-67 grading of nonfunctioning pancreatic neuroendocrine tumors on histologic samples obtained by EUS-guided fine-needle tissue acquisition: a prospective study. Gastrointestinal endoscopy 2012, 76(3), 570–577. [Google Scholar] [CrossRef]
- Unno, J.; Kanno, A.; Masamune, A.; Kasajima, A.; Fujishima, F.; Ishida, K.; Hamada, S.; Kume, K.; Kikuta, K.; Hirota, M. et al. The usefulness of endoscopic ultrasound-guided fine-needle aspiration for the diagnosis of pancreatic neuroendocrine tumors based on the World Health Organization classification. Scandinavian journal of gastroenterology 2014 49(11), 1367–1374. [CrossRef]
- Paiella, S.; Landoni, L.; Rota, R.; Valenti, M.; Elio, G.; Crinò, S. F.; Manfrin, E.; Parisi, A.; Cingarlini, S; D'Onofrio, M. et al. Endoscopic ultrasound-guided fine-needle aspiration for the diagnosis and grading of pancreatic neuroendocrine tumors: a retrospective analysis of 110 cases. Endoscopy 2020 52(11), 988–994. [CrossRef]
- Crinò, S. F.; Ammendola, S.; Meneghetti, A.; Bernardoni, L.; Conti Bellocchi, M. C.; Gabbrielli, A.; Landoni, L.; Paiella, S.; Pin, F.; Parisi, A. et al. Comparison between EUS-guided fine-needle aspiration cytology and EUS-guided fine-needle biopsy histology for the evaluation of pancreatic neuroendocrine tumors. Pancreatology 2021 21(2), 443–450. [CrossRef]
- Rimbaş, M.; Crino, S. F.; Gasbarrini, A.; Costamagna, G.; Scarpa, A.; Larghi, A. EUS-guided fine-needle tissue acquisition for solid pancreatic lesions: Finally moving from fine-needle aspiration to fine-needle biopsy? Endoscopic ultrasound 2018, 7(3), 137–140. [Google Scholar] [CrossRef]
- Eusebi, L. H.; Thorburn, D.; Toumpanakis, C.; Frazzoni, L.; Johnson, G.; Vessal, S.; Luong, T. V.; Caplin, M.; Pereira, S. P. Endoscopic ultrasound-guided fine-needle aspiration vs fine-needle biopsy for the diagnosis of pancreatic neuroendocrine tumors. Endoscopy international open 2019, 7(11), E1393–E1399. [Google Scholar] [CrossRef] [PubMed]
- Di Leo, M.; Poliani, L.; Rahal, D.; Auriemma, F.; Anderloni, A.; Ridolfi, C.; Spaggiari, P.; Capretti, G.; Di Tommaso, L.; Preatoni, P. et al. Pancreatic Neuroendocrine Tumours: The Role of Endoscopic Ultrasound Biopsy in Diagnosis and Grading Based on the WHO 2017 Classification. Digestive diseases (Basel, Switzerland) 2019 37(4), 325–333. [CrossRef]
- Leeds, J. S.; Nayar, M. K.; Bekkali, N. L. H.; Wilson, C. H.; Johnson, S. J.; Haugk, B.; Darne, A.; Oppong, K. W. Endoscopic ultrasound-guided fine-needle biopsy is superior to fine-needle aspiration in assessing pancreatic neuroendocrine tumors. Endoscopy international open 2019, 7(10), E1281–E1287. [Google Scholar] [CrossRef]
- Melita, G.; Pallio, S.; Tortora, A.; Crinò, S. F.; Macrì, A.; Dionigi, G. Diagnostic and Interventional Role of Endoscopic Ultrasonography for the Management of Pancreatic Neuroendocrine Neoplasms. Journal of clinical medicine 2021, 10(12), 2638. [Google Scholar] [CrossRef] [PubMed]
- Bernstein, J.; Ustun, B.; Alomari, A.; Bao, F.; Aslanian, H. R.; Siddiqui, U.; Chhieng, D.; Cai, G. Performance of endoscopic ultrasound-guided fine needle aspiration in diagnosing pancreatic neuroendocrine tumors. CytoJournal 2013, 10, 10. [Google Scholar] [CrossRef]
- Boutsen, L.; Jouret-Mourin, A.; Borbath, I.; van Maanen, A.; Weynand, B. Accuracy of Pancreatic Neuroendocrine Tumour Grading by Endoscopic Ultrasound-Guided Fine Needle Aspiration: Analysis of a Large Cohort and Perspectives for Improvement. Neuroendocrinology 2018, 106(2), 158–166. [Google Scholar] [CrossRef]
- Heidsma, C. M.; Tsilimigras, D. I.; Rocha, F.; Abbott, D. E.; Fields, R.; Smith, P. M.; Poultsides, G. A.; Cho, C.; van Eijck, C.; van Dijkum, E. N. et al. Clinical relevance of performing endoscopic ultrasound-guided fine-needle biopsy for pancreatic neuroendocrine tumors less than 2 cm. Journal of surgical oncology 2020 122(7), 1393–1400. [CrossRef]
- Gratian, L.; Pura, J.; Dinan, M.; Roman, S.; Reed, S.; Sosa, J. A. Impact of extent of surgery on survival in patients with small nonfunctional pancreatic neuroendocrine tumors in the United States. Annals of surgical oncology 2014, 21(11), 3515–3521. [Google Scholar] [CrossRef]
- Sharpe, S. M.; In, H.; Winchester, D. J.; Talamonti, M. S.; Baker, M. S. Surgical resection provides an overall survival benefit for patients with small pancreatic neuroendocrine tumors. Journal of gastrointestinal surgery 19(1), 117–123. [CrossRef]
- Sallinen, V.; Haglund, C.; Seppänen, H. Outcomes of resected nonfunctional pancreatic neuroendocrine tumors: Do size and symptoms matter? Surgery 2015, 158(6), 1556–1563. [Google Scholar] [CrossRef] [PubMed]
- Falconi, M.; Eriksson, B.; Kaltsas, G.; Bartsch, D. K.; Capdevila, J.; Caplin, M.; Kos-Kudla, B.; Kwekkeboom, D.; Rindi, G.; Klöppel, G. et al. ENETS Consensus Guidelines Update for the Management of Patients with Functional Pancreatic Neuroendocrine Tumors and Non-Functional Pancreatic Neuroendocrine Tumors. Neuroendocrinology 2016 103(2), 153–171. [CrossRef]
- Delle Fave, G.; O'Toole, D.; Sundin, A.; Taal, B.; Ferolla, P.; Ramage, J. K.; Ferone, D.; Ito, T.; Weber, W.; Zheng-Pei, Z.; et al. ENETS Consensus Guidelines Update for Gastroduodenal Neuroendocrine Neoplasms. Neuroendocrinology 2016, 103(2), 119–124. [Google Scholar] [CrossRef] [PubMed]
- Ramage, J. K.; De Herder, W. W.; Delle Fave, G.; Ferolla, P.; Ferone, D.; Ito, T.; Ruszniewski, P.; Sundin, A.; Weber, W.; Zheng-Pei, Z.; et al. ENETS Consensus Guidelines Update for Colorectal Neuroendocrine Neoplasms. Neuroendocrinology 2016, 103(2), 139–143. [Google Scholar] [CrossRef] [PubMed]
- Bertero, L.; Massa, F.; Metovic, J.; Zanetti, R.; Castellano, I.; Ricardi, U.; Papotti, M.; Cassoni, P. Eighth Edition of the UICC Classification of Malignant Tumours: an overview of the changes in the pathological TNM classification criteria-What has changed and why?. Virchows Archiv : an international journal of pathology 2018 472(4), 519–531. [CrossRef]
- Rindi, G.; Klöppel, G.; Alhman, H.; Caplin, M.; Couvelard, A.; de Herder, W. W.; Erikssson, B.; Falchetti, A.; Falconi, M.; Komminoth, P. et al. TNM staging of foregut (neuro)endocrine tumors: a consensus proposal including a grading system. Virchows Archiv : an international journal of pathology 2006 449(4), 395–401. [CrossRef]
- Yang, M.; Ke, N. W.; Zhang, Y.; Tan, C. L.; Tian, B. L.; Liu, X. B.; Huang, W.; Nunes, Q.; Sutton, R. Functional and non-functional pancreatic neuroendocrine tumours: ENETS or AJCC TNM staging system? Oncotarget 2017, 8(47), 82784–82795. [Google Scholar] [CrossRef] [PubMed]
- Morse, B.; Al-Toubah, T.; Montilla-Soler, J. Anatomic and functional imaging of neuroendocrine tumors. Current treatment options in oncology 2020, 21(9), 75. [Google Scholar] [CrossRef] [PubMed]
- Sundin, A.; Arnold, R.; Baudin, E.; Cwikla, J. B.; Eriksson, B.; Fanti, S.; Fazio, N.; Giammarile, F.; Hicks, R. J.; Kjaer, A. et al. ENETS Consensus Guidelines for the Standards of Care in Neuroendocrine Tumors: Radiological, Nuclear Medicine & Hybrid Imaging. Neuroendocrinology 2017 105(3), 212–244. [CrossRef]
- Caramella, C.; Dromain, C.; De Baere, T.; Boulet, B.; Schlumberger, M.; Ducreux, M.; Baudin, E. Endocrine pancreatic tumours: which are the most useful MRI sequences? European radiology 2010, 20(11), 2618–2627. [Google Scholar] [CrossRef]
- Dromain, C.; de Baere, T.; Lumbroso, J.; Caillet, H.; Laplanche, A.; Boige, V.; Ducreux, M.; Duvillard, P.; Elias, D. et al. Detection of liver metastases from endocrine tumors: a prospective comparison of somatostatin receptor scintigraphy, computed tomography, and magnetic resonance imaging. Journal of clinical oncology 2005 23(1), 70–78. [CrossRef]
- Lee, D. W.; Kim, M. K.; Kim, H. G. Diagnosis of Pancreatic Neuroendocrine Tumors. Clinical endoscopy 2017, 50(6), 537–545. [Google Scholar] [CrossRef]
- Rust, E.; Hubele, F.; Marzano, E.; Goichot, B.; Pessaux, P.; Kurtz, J. E.; Imperiale, A. Nuclear medicine imaging of gastro-entero-pancreatic neuroendocrine tumors. The key role of cellular differentiation and tumor grade: from theory to clinical practice. Cancer imaging 2012 12(1), 173–184. [CrossRef]
- Buchmann, I.; Henze, M.; Engelbrecht, S.; Eisenhut, M.; Runz, A.; Schäfer, M.; Schilling, T.; Haufe, S.; Herrmann, T.; Haberkorn, U. Comparison of 68Ga-DOTATOC PET and 111In-DTPAOC (Octreoscan) SPECT in patients with neuroendocrine tumours. European journal of nuclear medicine and molecular imaging 2007, 34(10), 1617–1626. [Google Scholar] [CrossRef]
- Van Binnebeek, S.; Vanbilloen, B.; Baete, K.; Terwinghe, C.; Koole, M.; Mottaghy, F. M.; Clement, P. M.; Mortelmans, L.; Bogaerts, K.; Haustermans, K. et al. Comparison of diagnostic accuracy of (111)In-pentetreotide SPECT and (68)Ga-DOTATOC PET/CT: A lesion-by-lesion analysis in patients with metastatic neuroendocrine tumours. European radiology 2016 26(3), 900–909. [CrossRef]
- Treglia, G.; Castaldi, P.; Rindi, G.; Giordano, A.; Rufini, V. Diagnostic performance of Gallium-68 somatostatin receptor PET and PET/CT in patients with thoracic and gastroenteropancreatic neuroendocrine tumours: a meta-analysis. Endocrine, 42(1) 2012 80–87. [CrossRef]
- Bozkurt, M. F.; Virgolini, I.; Balogova, S.; Beheshti, M.; Rubello, D.; Decristoforo, C.; Ambrosini, V.; Kjaer, A.; Delgado-Bolton, R.; Kunikowska, J. et al. Guideline for PET/CT imaging of neuroendocrine neoplasms with 68Ga-DOTA-conjugated somatostatin receptor targeting peptides and 18F-DOPA. European journal of nuclear medicine and molecular imaging 2017 44(9), 1588–1601. [CrossRef]
- Binderup, T.; Knigge, U.; Loft, A.; Federspiel, B.; Kjaer, A. 18F-fluorodeoxyglucose positron emission tomography predicts survival of patients with neuroendocrine tumors. Clinical cancer research 2010, 16(3), 978–985. [Google Scholar] [CrossRef]
- Leon, A.; Torta, M.; Dittadi, R.; degli Uberti, E.; Ambrosio, M. R.; Delle Fave, G.; De Braud, F.; Tomassetti, P.; Gion, M.; Dogliotti, L. Comparison between two methods in the determination of circulating chromogranin A in neuroendocrine tumors (NETs): results of a prospective multicenter observational study. The International journal of biological markers 2005, 20(3), 156–168. [Google Scholar] [CrossRef]
- Welin, S.; Stridsberg, M.; Cunningham, J.; Granberg, D.; Skogseid, B.; Oberg, K.; Eriksson, B.; Janson, E. T. Elevated plasma chromogranin A is the first indication of recurrence in radically operated midgut carcinoid tumors. Neuroendocrinology 2009, 89(3), 302–307. [Google Scholar] [CrossRef]
- Sansone, A.; Lauretta, R.; Vottari, S.; Chiefari, A.; Barnabei, A.; Romanelli, F.; Appetecchia, M. Specific and Non-Specific Biomarkers in Neuroendocrine Gastroenteropancreatic Tumors. Cancers 2019, 11, 1113. [Google Scholar] [CrossRef]
- Cryer, P. E.; Axelrod, L.; Grossman, A. B.; Heller, S. R.; Montori, V. M.; Seaquist, E. R.; Service, F. J. ; Endocrine Society Evaluation and management of adult hypoglycemic disorders: an Endocrine Society Clinical Practice Guideline. The Journal of clinical endocrinology and metabolism 2009, 94(3), 709–728. [Google Scholar] [CrossRef] [PubMed]
- Bloom S., R. Vasoactive intestinal peptide, the major mediator of the WDHA (pancreatic cholera) syndrome: value of measurement in diagnosis and treatment. The American journal of digestive diseases 1978, 23(4), 373–376. [Google Scholar] [CrossRef] [PubMed]
- Oberg, K.; Couvelard, A.; Delle Fave, G.; Gross, D.; Grossman, A.; Jensen, R. T.; Pape, U. F.; Perren, A.; Rindi, G.; Ruszniewski, P. et al. ENETS Consensus Guidelines for Standard of Care in Neuroendocrine Tumours: Biochemical Markers. Neuroendocrinology 2017 105(3), 201–211. [CrossRef]
- Ma, Z. Y.; Gong, Y. F.; Zhuang, H. K.; Zhou, Z. X.; Huang, S. Z.; Zou, Y. P.; Huang, B. W.; Sun, Z. H.; Zhang, C. Z. et al. Pancreatic neuroendocrine tumors: A review of serum biomarkers, staging, and management. World journal of gastroenterology 2020 26(19), 2305–2322. [CrossRef]
- Feldman, J. M.; Jones, R. S. Carcinoid syndrome from gastrointestinal carcinoids without liver metastasis. Annals of surgery 1982, 196(1), 33–37. [Google Scholar] [CrossRef] [PubMed]
- Zavras, N.; Schizas, D.; Machairas, N.; Damaskou, V.; Economopoulos, N.; Machairas, A. Carcinoid syndrome from a carcinoid tumor of the pancreas without liver metastases: A case report and literature review. Oncology letters 2017, 13(4), 2373–2376. [Google Scholar] [CrossRef] [PubMed]
- Famerée, L.; Van Lier, C.; Borbath, I.; Yildiz, H.; Lemaire, J.; Baeck, M. Misleading clinical presentation of carcinoid syndrome. Acta gastro-enterologica Belgica 2021 84(3), 501–503. [CrossRef]
- Oberg, K.; Janson, E. T.; Eriksson, B. Tumour markers in neuroendocrine tumours. Italian journal of gastroenterology and hepatology 1999, 31 Suppl 2, S160–S162. [Google Scholar]
- Eriksson, B. , Oberg, K., & Stridsberg, M. (2000). Tumor markers in neuroendocrine tumors. Digestion 62 Suppl 1, 33–38. [CrossRef]




| Differentiation | Grade | Mitotic rate (mitoses/2 mm2) | Ki-67 index | |
| NET, G1 | Well differentiated | Low | <2 | <3% |
| NET, G2 | Intermediate | 2-20 | 3-20% | |
| NET, G3 | High | >20 | >20% | |
| NEC, small-cell type | Poorly differentiated | High | >20 | >20% |
| NEC, large-cell type | >20 | >20% | ||
| MiNEN | Well or poorly differentiated | Variable | Variable | Variable |
Disclaimer/Publisher’s Note: The statements, opinions and data contained in all publications are solely those of the individual author(s) and contributor(s) and not of MDPI and/or the editor(s). MDPI and/or the editor(s) disclaim responsibility for any injury to people or property resulting from any ideas, methods, instructions or products referred to in the content. |
© 2023 by the authors. Licensee MDPI, Basel, Switzerland. This article is an open access article distributed under the terms and conditions of the Creative Commons Attribution (CC BY) license (http://creativecommons.org/licenses/by/4.0/).
