Submitted:
23 January 2023
Posted:
25 January 2023
You are already at the latest version
Abstract
Keywords:
1. Introduction
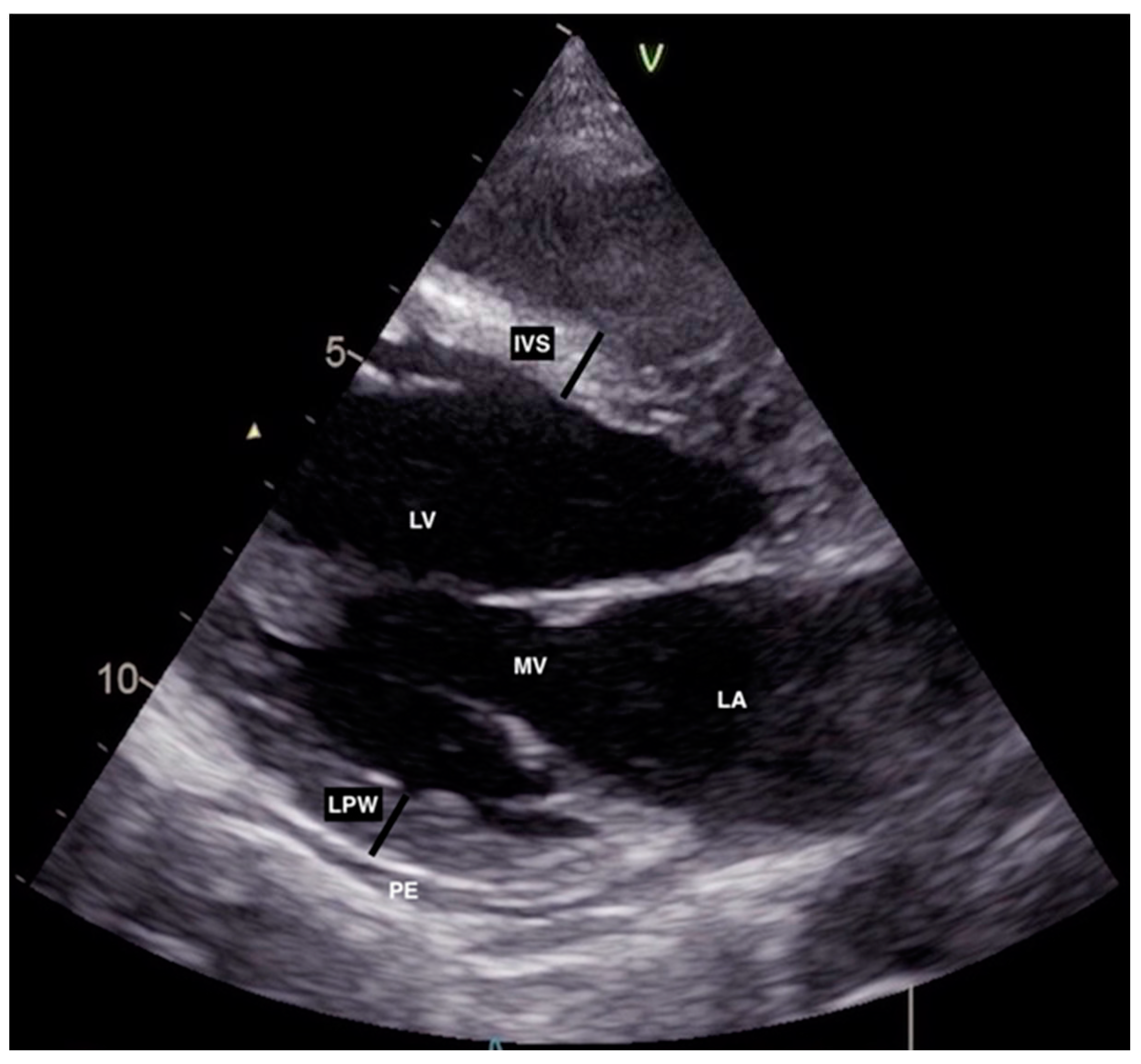
2. Case Description
3. Discussion
4. Conclusions
Author Contributions
Funding
Institutional Review Board Statement
Informed Consent Statement
Data Availability Statement
Conflicts of Interest
References
- Tincani, A.; Rebaioli, C.B., Taglietti, M.; Shoenfeld, Y. Heart involvement in systemic lupus erythematosus, anti-phospholipid syndrome and neonatal lupus. Rheumatology (Oxford) 2006, 45 (Suppl. S4), iv8-iv13. [CrossRef]
- Björnådal, L.; Yin, L.; Granath, F.; Klareskog, L.; Ekbom, A. Cardiovascular disease a hazard despite improved prognosis in patients with systemic lupus erythematosus: results from a Swedish population based study 1964-95. J Rheumatol 2004, 31, 713–719. [Google Scholar] [PubMed]
- Dein, E.; Douglas, H.; Petri, M.; Law, G.; Timlin, H. Pericarditis in Lupus. Cureus 2019, 11, e4166. [Google Scholar] [CrossRef] [PubMed]
- Tani, C.; Elefante, E.; Arnaud, L.; Barreira, S.C.; Bulina, I.; Cavagna, L.; Costedoat-Chalumeau, N.; Doria, A.; Fonseca, J.E.; Franceschini, F.; Fredi, M.; Iaccarino, L.; Limper, M.; Majnik, J.; Nagy, G.; Pamfil, C.; Rednic, S.; Reynolds, J.A.; Tektonidou, M.G.; Troldborg, A.; Zanframundo, G.; Mosca, M. Rare clinical manifestations in systemic lupus erythematosus: a review on frequency and clinical presentation. Clin Exp Rheumatol 2022, 40, Suppl 134(5):93-102. [CrossRef]
- Felker, G. M.; Boehmer, J. P.; Hruban, R. H.; Hutchins, G. M.; Kasper, E. K.; Baughman, K. L.; Hare, J. M. Echocardiographic findings in fulminant and acute myocarditis. Journal of the American College of Cardiology 2000, 36, 227–232. [Google Scholar] [CrossRef] [PubMed]
- Uziębło-Życzkowska, B.; Mielniczuk, M.; Ryczek, R.; Krzesiński, P. Myocarditis successfully diagnosed and controlled with speckle tracking echocardiography. Cardiovascular ultrasound 2020, 18, 19. [Google Scholar] [CrossRef] [PubMed]
- Tanwani, J.; Tselios, K.; Gladman, D. D.; Su, J.; Urowitz, M. B. Lupus myocarditis: a single center experience and a comparative analysis of observational cohort studies. Lupus 2018, 27, 1296–1302. [Google Scholar] [CrossRef] [PubMed]
- Ponikowski, P.; Voors, A. A.; Anker, S. D.; Bueno, H.; Cleland, J. G.; Coats, A. J.; Falk, V.; González-Juanatey, J. R.; Harjola, V. P.; Jankowska, E. A.; Jessup, M.; Linde, C.; Nihoyannopoulos, P.; Parissis, J. T.; Pieske, B.; Riley, J. P.; Rosano, G. M.; Ruilope, L. M.; Ruschitzka, F.; Rutten, F. H., … Document Reviewers. 2016 ESC Guidelines for the diagnosis and treatment of acute and chronic heart failure: The Task Force for the diagnosis and treatment of acute and chronic heart failure of the European Society of Cardiology (ESC). Developed with the special contribution of the Heart Failure Association (HFA) of the ESC. European journal of heart failure 2016, 18, 891–975.
- Caforio, A. L. P.; Adler, Y.; Agostini, C.; Allanore, Y.; Anastasakis, A.; Arad, M.; Böhm, M.; Charron, P.; Elliott, P. M.; Eriksson, U.; Felix, S. B.; Garcia-Pavia, P.; Hachulla, E.; Heymans, S.; Imazio, M.; Klingel, K.; Marcolongo, R.; Matucci Cerinic, M.; Pantazis, A.; Plein, S. … Linhart, A. Diagnosis and management of myocardial involvement in systemic immune-mediated diseases: a position statement of the European Society of Cardiology Working Group on Myocardial and Pericardial Disease. European heart journal 2017, 38, 2649–2662. [CrossRef]
- Caforio, A. L.; Pankuweit, S.; Arbustini, E.; Basso, C.; Gimeno-Blanes, J.; Felix, S. B.; Fu, M.; Heliö, T.; Heymans, S.; Jahns, R.; Klingel, K.; Linhart, A.; Maisch, B.; McKenna, W.; Mogensen, J.; Pinto, Y. M.; Ristic, A.; Schultheiss, H. P.; Seggewiss, H.; Tavazzi, L., … European Society of Cardiology Working Group on Myocardial and Pericardial Diseases. Current state of knowledge on aetiology, diagnosis, management, and therapy of myocarditis: a position statement of the European Society of Cardiology Working Group on Myocardial and Pericardial Diseases. European heart journal 2013, 34, 2636–2648. [CrossRef]
- Adler, Y.; Charron, P.; Imazio, M.; Badano, L.; Barón-Esquivias, G.; Bogaert, J.; Brucato, A.; Gueret, P.; Klingel, K.; Lionis, C.; Maisch, B.; Mayosi, B.; Pavie, A.; Ristic, A. D.; Sabaté Tenas, M.; Seferovic, P.; Swedberg, K.; Tomkowski, W., and ESC Scientific Document Group. 2015 ESC Guidelines for the diagnosis and management of pericardial diseases: The Task Force for the Diagnosis and Management of Pericardial Diseases of the European Society of Cardiology (ESC)Endorsed by: The European Association for Cardio-Thoracic Surgery (EACTS). European heart journal 2015, 36, 2921–2964.
- Fanouriakis, A.; Kostopoulou, M.; Alunno, A.; Aringer, M.; Bajema, I.; Boletis, J. N.; Cervera, R.; Doria, A.; Gordon, C.; Govoni, M.; Houssiau, F.; Jayne, D.; Kouloumas, M.; Kuhn, A., Larsen, J. L.; Lerstrøm, K.; Moroni, G.; Mosca, M.; Schneider, M.; Smolen, J. S. … Boumpas, D. T. 2019 update of the EULAR recommendations for the management of systemic lupus erythematosus. Annals of the rheumatic diseases 2019, 78, 736–745.
- Durrance, R. J.; Movahedian, M.; Haile, W.; Teller, K.; Pinsker, R. Systemic Lupus Erythematosus Presenting as Myopericarditis with Acute Heart Failure: A Case Report and Literature Review. Case reports in rheumatology 2019, 2019, 6173276. [Google Scholar] [CrossRef] [PubMed]
- Zhang, L.; Zhu, Y. L.; Li, M. T.; Gao, N.; You, X.; Wu, Q. J.; Su, J. M.; Shen, M.; Zhao, L. D.; Liu, J. J.; Zhang, F. C.; Zhao, Y.; Zeng, X. F. Lupus Myocarditis: A Case-Control Study from China. Chinese medical journal 2015, 128, 2588–2594. [Google Scholar] [CrossRef] [PubMed]
- Xibillé-Friedmann, D.; Pérez-Rodríguez, M.; Carrillo-Vázquez, S.; Álvarez-Hernández, E.; Aceves, F. J., Ocampo-Torres, M. C.; García-García, C.; García-Figueroa, J. L.; Merayo-Chalico, J.; Barrera-Vargas, A.; Portela-Hernández, M.; Sicsik, S.; Andrade-Ortega, L.; Rosales-Don Pablo, V. M.; Martínez, A.; Prieto-Seyffert, P.; Pérez-Cristóbal, M.; Saavedra, M. Á.; Castro-Colín, Z.; Ramos, A.; … Barile-Fabris, L. A. Clinical practice guidelines for the treatment of systemic lupus erythematosus by the Mexican College of Rheumatology. Guía de práctica clínica para el manejo del lupus eritematoso sistémico propuesta por el Colegio Mexicano de Reumatología. Reumatologia clinica 2019, 15, 3–20.
- Mirna, M.; Schmutzler, L.; Topf, A.; Boxhammer, E.; Sipos, B.; Hoppe, U. C.; Lichtenauer, M. Treatment with Non-Steroidal Anti-Inflammatory Drugs (NSAIDs) Does Not Affect Outcome in Patients with Acute Myocarditis or Myopericarditis. Journal of cardiovascular development and disease 2022, 9, 32. [Google Scholar] [CrossRef] [PubMed]
- Gulhar, R.; Ashraf, M. A.; Jialal, I. (2022). Physiology, Acute Phase Reactants. In StatPearls. StatPearls Publishing.
- Suresh, A.; Martens, P.; Tang, W. H. W. Biomarkers for Myocarditis and Inflammatory Cardiomyopathy. Current heart failure reports 2022, 19, 346–355. [Google Scholar] [CrossRef] [PubMed]
- Zagelbaum Ward, N. K.; Linares-Koloffon, C.; Posligua, A.; Gandrabur, L.; Kim, W. Y.; Sperber, K.; Wasserman, A.; Ash, J. Cardiac Manifestations of Systemic Lupus Erythematous: An Overview of the Incidence, Risk Factors, Diagnostic Criteria, Pathophysiology and Treatment Options. Cardiology in review 2022, 30, 38–43. [Google Scholar] [CrossRef] [PubMed]





| Reference range | Admission | After 24 months | |
|---|---|---|---|
| White blood cell count (109/L) | 3.4-9.7 | 3.1 | 6.9 |
| Hemoglobin (g/L) | 138-175 | 116 | 137 |
| Platelets (109/L) | 158-424 | 132 | 193 |
| CRP (mg/dL) | <5.0 | 26.5 | 3.5 |
| ESR (mm/3.6ks) | 4-24 | 28 | 11 |
| Albumin (g/L) | 41-51 | 36 | 44 |
| Ferritin (µg/L) | 10-158 | 61 | 12 |
| Fibrinogen (g/L) | 1.8-3.5 | 3.9 | 2.2 |
| Procalcitonin (µg/L) | 0.5-2 | 1.30 | <0.5 |
| Creatinine (µmol/L) | 49-90 | 68 | 51 |
| 24-hour urine protein (mg/24h) | <150 | 54 | 145 |
| hs-troponin I (ng/L) | <39 | 293 | 36 |
| NT-proBNP (ng/L) | <208.4 | 9373 | 135 |
| Direct antiglobulin test | - | Negative | - |
| C3 (g/L) | 0.89-1.87 | 0.72 | 1.0 |
| C4 (g/L) | 0.17-0.38 | 0.17 | 0.28 |
| Antinuclear antibody* | Positive>1 | >55 | - |
| Anti-dsDNA antibody* (IU/ml) | Positive>15 | <0.7 | 1.2 |
| Anti-Smith (Sm) antibody | - | - | - |
| Anticardiolipin antibody IgM* (MPL-U/mL) | Positive>40 | 1.1 | 0.7 |
| Anticardiolipin antibody IgG* (GPL-U/mL) | Positive>40 | 1.2 | 0.9 |
| Beta2-Glycoprotein I IgM* (EliA U/mL) | Positive>10 | <2.4 | <2.4 |
| Beta2-Glycoprotein I IgG* (EliA U/mL) | Positive>10 | <0.8 | <0.8 |
| Lupus anticoagulant | - | Negative | - |
Disclaimer/Publisher’s Note: The statements, opinions and data contained in all publications are solely those of the individual author(s) and contributor(s) and not of MDPI and/or the editor(s). MDPI and/or the editor(s) disclaim responsibility for any injury to people or property resulting from any ideas, methods, instructions or products referred to in the content. |
© 2023 by the authors. Licensee MDPI, Basel, Switzerland. This article is an open access article distributed under the terms and conditions of the Creative Commons Attribution (CC BY) license (http://creativecommons.org/licenses/by/4.0/).
