1. Introduction
In recent years, while the incidence of tuberculosis has been decreasing [
1], the incidence of non-tuberculous mycobacteria (NTM) infections has been increasing [
2]. Among the NTM, pulmonary infections by
Mycobacterium avium complex (MAC) bacteria show the highest incidence and are becoming a serious concern for public health [
3,
4,
5,
6]. The main causative agents of pulmonary NTM infection are
M. avium and
M. intracellulare [
7]. The prevalence of MAC isolated from pulmonary NTM infections shows a unique geographical distribution in Japan.
M. avium is primarily isolated from pulmonary NTM infections in eastern Japan, whereas
M. intracellulare is found in western Japan [
7,
8]. Pulmonary infections caused by
M. intracellulare have a higher clinical morbidity than those caused by
M. avium [
9,
10]. Pulmonary MAC infection is difficult to treat with antibiotics, and it requires long-term therapy (at least 1 year to achieve sputum culture negativity) with combinations of antibiotics, which include antituberculosis agents and macrolides [
11]. Microbiological recurrence due to MAC reinfection is often observed even after successful clinical treatment [
12,
13].
NTM including MAC are widely distributed in the natural environment [
14], and they are particularly abundant in moist or wet environments such as tap water and bathrooms [
15]. Therefore, hygienic management of moist or wet environments is required to reduce exposure to NTM. Microbiological surveillance in the households of 49 pulmonary MAC disease outpatients and 43 healthy volunteers in Japan reported that MAC was isolated mainly from bathrooms and not from kitchen tap water, wash basins, and other sites [
16]. In addition, the incidence of MAC in the bathrooms of patients was significantly higher than that of healthy volunteers [
14].
The rapid detection and eradication of pathogenic microorganisms from infection sources is essential to prevent infectious diseases. However, effective methods for eradicating NTM remain to be established. NTM shows relatively high resistance to chlorine-based disinfectants [
17], and of the NTM species, MAC is the most tolerant to disinfectant [
18]. Effective sanitizing methods for bathrooms, which are rich in biological substances of human origin and biofilm materials, are needed.
Recently, a chlorite (ClO
2-)-based disinfectant, chlorous acid water (CAW), has been approved as a Category II disinfectant in Japan. CAW has greater bactericidal effects under organic-matter-rich conditions when compared to sodium hypochlorite (NaClO), which is a representative chlorine-based disinfectant [
19,
20,
21]. Therefore, CAW is a suitable disinfectant for environments contaminated by biological substances, which includes food processing equipment and hospital environments that are contaminated by human excretions.
The aims of this study were to examine whether CAW has a sufficient bactericidal effect against M. intracellulare and to elucidate the bactericidal mechanism of this disinfectant against mycobacteria.
3. Discussion
Chlorite (ClO
2-)-based sanitizers, which include acidified sodium chlorite (ASC) and CAW preparations, are used for the sanitation of food and food processing facilities [
22,
23]. CAW has recently been approved as a category 2 drug in Japan. The microbicidal activity of CAW preparations against a wide spectrum of microorganisms, including
Campylobacter jejuni [
24,
25],
Clostridioides difficile [
19],
M. tuberculosis [
26], human norovirus [
21] and SARS-CoV-2 [
20], has been reported. These studies commonly reported that CAW showed superior microbicidal effects to NaClO under organic matter-rich conditions. The incidence of pulmonary disease caused by MAC has been increasing in several countries where the incidence of tuberculosis is decreasing [
1,
2]. Moist and wet environments in households such as bathroom and kitchen sinks and water supply systems are reservoirs for NTM [
15]. These environments are rich in organic matter derived from humans and from food ingredients, leading to biofilm and/or slime formation. Under these conditions, it is likely to be difficult to sanitize NTM using simple sanitation approaches. Therefore, we aimed to examine the microbicidal effect of CAW on NTM.
As in the previous study, we observed that CAW showed superior killing of NTM compared with NaClO at the same FAC level. Notably, MAC including
M. avium and
M. intracellulare showed higher resistance to NaClO than other NTM such as
M. fortuitum and
M. abscessus (
Figure 2A). This indicates that chlorine levels in tap water are insufficient to inactivate NTM in water supply systems.
Even under organic matter loading conditions, CAW at >100 mg/L achieved a >4 log
10 reduction in viable cells of all the tested NTM strains within 1 min of treatment, in contrast to NaClO, which did not achieve this level of reduction even at 1000 mg/L. The chloroperoxyl radical (ClOO●) is a main active component of CAW [
27]. This novel radical species can be detected by electron spin resonance without spin trap reagents, indicating that it is a long-lived radical. In addition, Goda et al. reported that CAW showed selective reactivity toward amino acids, reacting only with cysteine and histidine among the 15 amino acids tested [
21]. These findings indicate that the tolerance of CAW to organic matter can be attributed to the long-lived chloroperoxyl radical and its selective reactivity. However, the microbicidal mechanisms of CAW have not been fully elucidated.
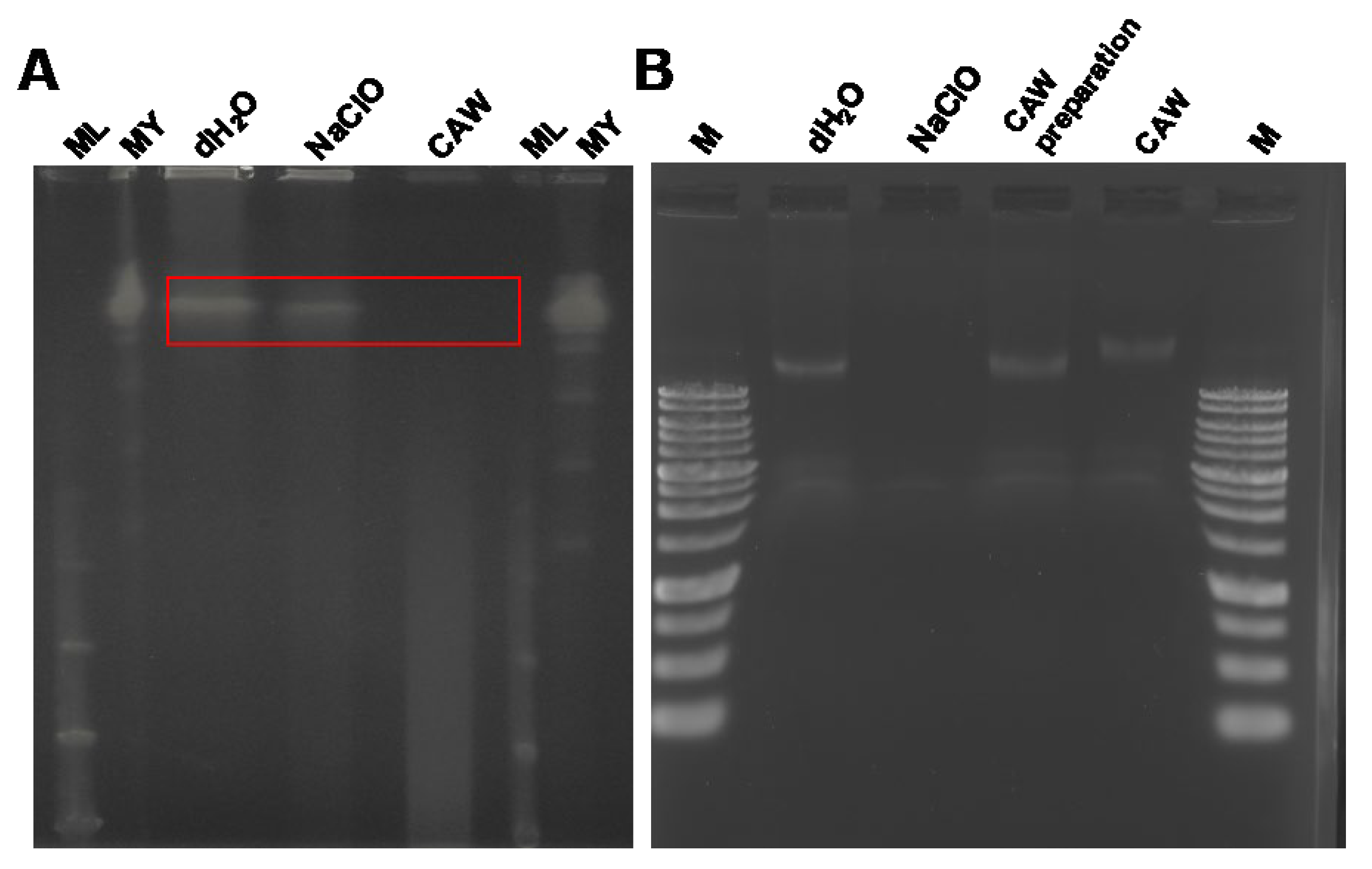
We first investigated whether the bactericidal mechanism of CAW was due to oxidative DNA damage. DNA purified from M. intracellulare was exposed to each of the FAC reagents at a concentration of 200 mg/L for 30 minutes. Contrary to the PFGE results, NaClO degraded the DNA band, whereas CAW and the CAW formulation did not reduce its intensity. However, CAW treatment resulted in an upward shift of the band. The shift in the DNA band observed after CAW treatment may suggest dissociation of double-stranded DNA (
Figure 4B).
This is likely due to disruption of electrostatic interactions between double-stranded DNA, as predicted by experiments using S1 nuclease, which degrades single-stranded DNA (
Figure S2).
Furthermore, DNA was extracted after a 1-minute contact time, during which CAW and the CAW formulation exerted efficient bactericidal activity. Although 200 mg/L NaClO reduced the intensity of the DNA band, DNA extracted from M. intracellulare remained unchanged after treatment with either reagent at 200 mg/L for 1 min (
Figure S1).
Since there was no correlation between the DNA degradation and bactericidal effect of CAW, we concluded that DNA damage is not a primary bactericidal mechanism of CAW. Gupta et al. reported that exonucleases are induced in
Escherichia coli cells by oxidative stress [
28]. In the case of
M. intracellulare, the DNA degradation shown in the PFGE analysis seemed to be a secondary phenomenon due to lethal oxidative stress induced by CAW. Transcriptome analysis will be needed to fully explain how physiological changes in NTM are induced by CAW. On the other hand, NaClO degraded purified DNA, but not DNA inside
M. intracellulare cells, indicating that it is difficult for NaClO to penetrate the lipid-rich cell walls of mycobacteria. It was noteworthy that CAW preparations, which consist of CAW in phosphate buffer around neutral pH, did not degrade the DNA, but rather seemed to stabilize the DNA. This idea is based on the agarose gel image in which the smearing of DNA decreased after treatment with the CAW preparation (
Figure S1). The reason for this effect is unknown, but the negative charges of the phosphate ion electrostatically interact with divalent cations such as Mg
2+, which is a cofactor enhancing DNase activity. The pH adjustment of CAW with phosphate buffer may decrease the genotoxic effects of CAW or other oxidative sanitizers.
Hatanaka et al. reported that CAW agglutinated membrane proteins without affecting the genomic DNA, indicating that protein degeneration is a major bactericidal mechanism [
25]. Accordingly, we measured the membrane potential, and the results showed that the membrane potential declines in a manner that correlates well with the bactericidal effects of CAW and CAW preparations on NTM. The reduction of membrane potential by CAW was attributed to the deterioration of respiratory chain function. CAW and CAW preparations were considered to cause irreversible degeneration of membrane proteins since ATP synthesis did not recover after treatment with CAW or CAW preparations at 50 mg/L, even seven days after treatment. On the other hand,
M. intracellulare treated with NaClO recovered ATP synthesis, including higher ATP production than the control when the cells were treated with NaClO at 25 mg/L and 50 mg/L, indicating a compensatory response to increased energy demand for recovery from cellular damage.
NADH dehydrogenase, which is a large, multi-subunit enzyme forming part of the respiratory chain, is a major contributor to intracellular ROS [
29]. We confirmed the reduction of ROS generation after treatment with CAW or CAW preparations, correlating with the reduction in membrane potential after treatment with these sanitizers (
Figure 5). As mentioned above, CAW preferentially reacts with cysteine and histidine. These amino acid residues are essential for the structures of protein complexes responsible for electron transfer in the respiratory chain, which contain cofactors such as heme and iron-sulfur clusters [
30,
31,
32], supporting our conclusion that the bactericidal mechanism of CAW and CAW preparations on NTM involves membrane protein degeneration, especially the components of the respiratory chain.
A limitation of this study is that the results are obtained from in vitro analysis. NTM form biofilms even in laboratory cultures. Therefore, bactericidal assays in practical settings will be essential to confirm the sanitizing effect of CAW and CAW preparations on NTM colonizing wet environments. It may be necessary to consider the combined use of CAW.
4. Materials and Methods
4.1. Bacterial Strains and Culture Conditions
The NTM strains used in this study are listed in
Table S1. For all the strains, glycerol stocks stored at -80℃ were streaked onto Middlebrook 7H10 agar (Becton, Dickinson and Company, BD) and incubated at 37 ℃ for one week. The resulting colonies were picked and suspended in Middlebrook 7H9 liquid medium (Sigma-Aldrich), then cultured at 37 ℃ with shaking (130 rpm) for two weeks until sufficient growth was obtained.
4.2. Disinfectants
Chlorous acid water (CAW) and CAW preparations were obtained from Sankei Co., Ltd. Sodium hypochlorite (NaClO) was pur4.3.chased from Oyalox Co. Ltd. Free available chlorine (FAC) levels were measured by the method employing
N,
N-diethyl-
p-phenylenediamine (DPD) according to a previous study [
33]. FACs levels are expressed in mg/L in this study. DPD was obtained from FUJIFILM Wako Pure Chemical Co.
4.3. Bactericidal Assays
Mycobacterial cultures (5.0 mL) were centrifuged (14,000 g, 4 ℃, 5 min) and resuspended in 1.0 mL saline solution with 0.05% Tween 20. Optical densities at 600 nm (OD600) of the individual cell suspensions were adjusted to 1.0 with saline/0.05% Tween 20. For the assays with organic-matter-free conditions, 0.9 mL of each of the disinfectants was mixed with 0.1 mL of bacterial suspension. In the case of organic-matter-load conditions, 0.1 mL of the bacterial inoculum, which was prepared by equally mixing 7.5% bovine serum albumin (BSA, Sigma-Aldrich) and the bacterial suspension (OD600=1.0), was added to 0.9 ml of each of the disinfectants. The treatment time at 25 ℃ was 1 min for both conditions. After treatment, 0.2 mL of 1 M sodium thiosulfate solution (FUJIFILM Wako Pure Chemical Co.) was immediately added to neutralize residual chlorine. After neutralization, 10-fold serial dilutions were prepared with saline/0.05% Tween 20. Appropriate dilutions (0.1 ml) were spread on Middlebrook 7H10 agar medium, and the plates were incubated at 37 ℃ for 4 weeks for M. intracellulare and 1 week for other mycobacteria tested The number of surviving bacteria was measured by counting the colonies formed on the plates. As a control, the viability of the bacteria in pre-neutralized disinfectants was monitored using standard plating methods.
4.4. Scanning Electron Microscopy
M. intracellulare NBRC 112750 cells, which were treated with distilled water and 200 mg/L each of CAW or NaClO, were fixed overnight with 2% glutaraldehyde in cacodylate buffer (pH 7.4) at 4°C. For scanning electron microscopy (SEM), each cell sample was dehydrated with a series of acetone solutions ranging in 10% increments from 50% (vol/vol) ethanol in distilled water to absolute acetone. All samples were dried to the critical point using a critical point dryer, coated with gold, and examined by SEM (Hitachi S-800; Hitachi, Tokyo, Japan).
4.5. Pulsed-Field Gel Electrophoresis (PFGE)
PFGE of
M. intracellulare NBRC 112750 was conducted to assess the chromosomal degradation after treatment with CAW or NaClO according to the method described by Samir et al. [
34]. In brief,
M. intracellulare NBRC 112750 cells were collected by centrifugation (14,000
g, 5 min, 4 ℃) from the reaction mixture after 30 min of treatment with saline, CAW or NaClO following neutralization. The pellet was washed with 500 μL of TE buffer (10 mM Tris-HCl, 1 mM EDTA, pH 8.0) and then resuspended in 200 μL of TE buffer. The sample plug molds, which were prepared with 200 μL of the cell suspension, were immersed in 4 mg/L lysozyme solution (Sigma Aldrich) and treated at 37 ℃ for 48 h (lysozyme solution was exchanged every 24 h). Subsequently, they were immersed in 0.5 M EDTA (DOJINDO) solution containing 2 mg/L proteinase K (FUJIFILM Wako Pure Chemical Corporation) and 1% lauroyl sarcosine sodium (Nacalai Tesque), and the samples were statically incubated at 55 ℃ for 7 days (the solution was exchanged on the 5th day). The plugs were washed four times with TE buffer (each wash lasting 1 h). The obtained sample plugs containing DNA fragments were analyzed by pulsed-field gel electrophoresis (PFGE) using a CHEF-DR2 (Bio-Rad Laboratories) under the following conditions: running buffer, 1X Tris-borate EDTA; running temperature, 14℃; running time, 48 h; voltage gradient, 6 V/cm; switching time: 5 s to 35 s for 48 h.
4.6. DNA Extraction
After M. intracellulare NBRC 112750 cells were collected from the cultures by centrifugation (14,000 g, 5 min, 4 ℃), pellets were suspended in 0.9 mL of TE buffer (pH 8.0) containing 4 μg/mL lysozyme and incubated at 37 ℃ for 1 h. Subsequently, 50 μL of 5.8 mg/mL achromopeptidase (FUJIFILM Wako Pure Chemical Co) was added, and the reaction mixture was incubated at 37 ℃ for 1 h. Then, 110 μL of 20 μg/mL proteinase K was added, and the mixture was further incubated at 55 ℃ for 1 to 1.5 h. Next, 120 μL of 10% sodium dodecyl sulfate (FUJIFILM Wako Pure Chemical Co) was added and incubated at 55 ℃ for 1 h. The DNA was extracted using phenol/chloroform/isoamyl alcohol (25:24:1, Nippon Gene) followed by ethanol precipitation at -80 ℃ overnight. The extracted DNA was dissolved in TE buffer (pH 8.0) and stored at -20 ℃ until use.
4.7. Digestion of Single Stranded DNA
To evaluate the amount of single-stranded DNA produced by treatment with CAW or NaClO, extracted bacterial DNAs were digested with S1 nuclease (Takara Bio). The digested DNAs were electrophoresed in 0.8% Agarose S (Nippon Gene) and DNA fragmentation was evaluated using ethidium bromide (Thermo Fisher) staining of the gels.
4.8. Measurement of Membrane Potential
After bactericidal assays were performed (treatment time 1 min) as described above,
M. intracellulare NBRC 112750 cells were collected by centrifugation (14,000
g, 4 ℃, 5 min), suspended in 1 mL of Middlebrook 7H9 medium supplemented with ADC (0.2% (w/v) dextrose, 0.2% (v/v) glycerol and 0.5% bovine serum albumin) and incubated at 37 ℃ for 30 min. As a control, we heated a
M. intracellulare NBRC 112750 cell suspension at 100 ℃ for 10 min and filtered the suspension through a 40 μm cell strainer (FALCON). We also prepared carbonyl cyanide
m-chlorophenyl hydrazone (CCCP)-treated
M. intracellulare NBRC 112750 cells as a control. Membrane potentials of the
M. intracellulare NBRC 112750 cells after each treatment were measured using BacLight™ Bacterial Membrane Potential Kit (Thermo Fisher) according to a previous report [
35]. Green and red fluorescence were measured using a flow cytometer (Merck Millipore), and the changes in membrane potential were evaluated based on the ratio of red fluorescence to green fluorescence of the stained cells.
4.9. Measurement of ATP
ATP levels in
M. intracellulare NBRC 112750 cultures were measured according to the method reported by Yuroff et al. [
36]. Cell suspensions of
M. intracellulare NBRC 112750 were adjusted to an OD
600 of 1.0 with saline/0.5% Tween 20. Next, 0.1 mL of the cell suspension was mixed with 0.9 mL of the test reagent (H
2O, CAW, CAW preparation or NaClO) and incubated at room temperature for 1 min. Subsequently, residual chlorine was neutralized with 0.2 mL of 1 M sodium thiosulfate. The treated cells were collected by centrifugation (14,000
g, 4 ℃, 5 min) and resuspended in 1 mL of Middlebrook 7H9 medium supplemented with ADC. The cell suspension was diluted 10-fold with the same medium and cultured at 37 ℃ for pre-scheduled intervals. The culture (0.5 ml) was periodically sampled and frozen at -80℃ for 30 min. The samples were then thawed at room temperature to lyse the cells and 50 μL of each cell lysate was dispensed into a 96-well plate. Sterilized distilled water (dH₂O) and 50 μL of BacTiter-Glo™ reagent (Promega) were added and statically reacted at room temperature for 5 min. The luminescence intensity was measured using a GloMax® Navigator System (Promega). The obtained luminescence values were evaluated as an indicator of surviving bacterial cells based on the amount of ATP.
4.10. ROS Measurement
The reactive oxygen species (ROS) which were generated in M. intracellulare NBRC 112750 after treatment with CAW or NaClO were measured using the OxiSelect™ Intracellular ROS Assay Kit (Cell Biolabs Inc.) according to the manufacturer’s instructions. In brief, M. intracellulare NBRC 112750 cell suspensions were adjusted to an OD600 of 2.0 with Middlebrook 7H9 medium supplemented with ADC, then centrifuged (14,000 g at 4 ℃, 5 min) and resuspended in 200 μL of a 1X solution of dichlorofluorescein-diacetate (DCFH-DA) (Thermo Fisher). After the reaction mixture was incubated at 37 ℃ for 1 h in the dark, the cells were collected by centrifugation (14,000 g, 4 ℃, 5 min) and resuspended in 2 mL of 1X PBS (pH 7.4). Then, 100 μL of each test reagent (CAW or NaClO) was dispensed into a 96-well plate and mixed with the same volume of the bacterial suspension. Hydrogen peroxide (1 mM and 10 mM) was used as a positive control. Immediately after mixing, changes in fluorescence intensity due to oxidative stress were recorded at 1-min intervals for 1 h. Fluorescence was monitored at an excitation wavelength of 480 nm and an emission wavelength of 530 nm using a fluorometer (CORONA ELECTRIC Co., Ltd).
4.11. Statistical Analysis
All statistical analyses were performed using R software (version 4.4.2). A p-value of <0.05 was considered to be statistically significant unless otherwise noted. Primary statistical analyses were conducted using a one-way analysis of variance (ANOVA) followed by Tukey’s test or Dunnett’s test. For the membrane potential assays, comparisons of the fluorescence ratios were performed using two-sample t-tests.
Author Contributions
Conceptualization, H.Yamaoka, H.N.I., H.G. and T.K.; methodology, H.Yamaoka, N.T., H.N.I., I.H. and T.N.; data collection and analysis, H. Yamaoka, N.T., H.N.I., A.T., E.M., I.H.; electron microscopy, H.Y.; writing (original draft), H.Yamaoka, H.Y., H.G. and T.K.; writing (review and editing), H.N.I., H.G. and T.K.; funding acquisition, H.G. and T.K. All authors have read and agreed to the final submitted version of the manuscript.
Figure 1.
Reduction in viable M. intracellulare cells after 1 min of treatment with CAW, a CAW preparation or NaClO. The bactericidal effect of each reagent was evaluated under organic matter-free conditions (A) or in the presence of 0.5% BSA (B). The reduction of viable cell numbers/mL is shown on a logarithmic scale on the y axis. The data are expressed as means ± standard errors from three independent repeats. The differences in the log10 reduction of M. intracellulare by the test disinfectants were statistically examined at each FAC by one-way ANOVA followed by Tukey's test. Asterisks indicate statistically significant differences (p <0.05).
Figure 1.
Reduction in viable M. intracellulare cells after 1 min of treatment with CAW, a CAW preparation or NaClO. The bactericidal effect of each reagent was evaluated under organic matter-free conditions (A) or in the presence of 0.5% BSA (B). The reduction of viable cell numbers/mL is shown on a logarithmic scale on the y axis. The data are expressed as means ± standard errors from three independent repeats. The differences in the log10 reduction of M. intracellulare by the test disinfectants were statistically examined at each FAC by one-way ANOVA followed by Tukey's test. Asterisks indicate statistically significant differences (p <0.05).
Figure 2.
The reduction in viable mycobacterial strains other than M. intracellulare after a 1-min treatment with CAW or NaClO. The bactericidal effect of each reagent was evaluated in the absence of organic matter (A) or in the presence of 0.5% BSA (B). The numbers below the x axis indicate the free available chlorine concentration in the reaction mixture. The reduction of viable cell numbers/mL is shown on a logarithmic scale on the y axis. The data are expressed as means ± standard errors from three independent repeats. The differences among the strains were statistically examined at each treatment condition by one-way ANOVA followed by Tukey's test. Columns containing the different letters indicate significant differences (p < 0.05).
Figure 2.
The reduction in viable mycobacterial strains other than M. intracellulare after a 1-min treatment with CAW or NaClO. The bactericidal effect of each reagent was evaluated in the absence of organic matter (A) or in the presence of 0.5% BSA (B). The numbers below the x axis indicate the free available chlorine concentration in the reaction mixture. The reduction of viable cell numbers/mL is shown on a logarithmic scale on the y axis. The data are expressed as means ± standard errors from three independent repeats. The differences among the strains were statistically examined at each treatment condition by one-way ANOVA followed by Tukey's test. Columns containing the different letters indicate significant differences (p < 0.05).
Figure 3.
Scanning electron microscope images of M. intracellulare cells after 30 min of treatment with each agent. The upper and lower panels are images observed at 3,000x and 9,000x magnifications, respectively. The white scale bars in the upper and lower panels correspond to 10 μm and 2 μm, respectively.
Figure 3.
Scanning electron microscope images of M. intracellulare cells after 30 min of treatment with each agent. The upper and lower panels are images observed at 3,000x and 9,000x magnifications, respectively. The white scale bars in the upper and lower panels correspond to 10 μm and 2 μm, respectively.
Figure 4.
Degradation of genomic DNA from M. intracellulare after 30 min of treatment with the test reagents. (A) PFGE images of the genomic DNA from M. intracellulare after treatment with 200 mg/L FAC each of NaClO or CAW for 30 min. The position of intact chromosomal DNA is shown by a red square. ML, lambda ladder marker; MY, yeast chromosome marker. (B) Agarose gel electrophoresis of the purified M. intracellulare genomic DNA with CAW, a CAW preparation or NaClO for 1 min. M, 1-kb DNA ladder marker.
Figure 4.
Degradation of genomic DNA from M. intracellulare after 30 min of treatment with the test reagents. (A) PFGE images of the genomic DNA from M. intracellulare after treatment with 200 mg/L FAC each of NaClO or CAW for 30 min. The position of intact chromosomal DNA is shown by a red square. ML, lambda ladder marker; MY, yeast chromosome marker. (B) Agarose gel electrophoresis of the purified M. intracellulare genomic DNA with CAW, a CAW preparation or NaClO for 1 min. M, 1-kb DNA ladder marker.
Figure 5.
Effect of CAW, a CAW preparation and NaClO on the membrane potential in M. intracellulare. (A) Ratio of red to green fluorescence after treatment with each reagent at varying FAC (mg/L) indicated below the x-axis (gray bars). Fluorescence from M. intracellulare cells that were inoculated into the pre-neutralized reagent with 1 M sodium thiosulfate was also measured to calculate the survival ratio (white bars). The difference in fluorescence ratios between treatments with pre-neutralized and non-neutralized disinfectants was statistically examined within the respective conditions using two-sample t-tests. Asterisks indicate statistically significant differences (p <0.05). (B) Survival rates after treatment with each reagent, which were calculated from the fluorescence ratios shown in panel A. The numbers below the x-axis indicate the FAC (mg/L) in the test solution. The data are expressed as means ± standard errors from three independent repeats. CCCP, carbonyl cyanide m-chlorophenyl hydrazone.
Figure 5.
Effect of CAW, a CAW preparation and NaClO on the membrane potential in M. intracellulare. (A) Ratio of red to green fluorescence after treatment with each reagent at varying FAC (mg/L) indicated below the x-axis (gray bars). Fluorescence from M. intracellulare cells that were inoculated into the pre-neutralized reagent with 1 M sodium thiosulfate was also measured to calculate the survival ratio (white bars). The difference in fluorescence ratios between treatments with pre-neutralized and non-neutralized disinfectants was statistically examined within the respective conditions using two-sample t-tests. Asterisks indicate statistically significant differences (p <0.05). (B) Survival rates after treatment with each reagent, which were calculated from the fluorescence ratios shown in panel A. The numbers below the x-axis indicate the FAC (mg/L) in the test solution. The data are expressed as means ± standard errors from three independent repeats. CCCP, carbonyl cyanide m-chlorophenyl hydrazone.

Figure 6.
Correlation between the number of surviving M. intracellulare cells and the membrane potential after treatment with CAW, a CAW preparation or NaClO. The FAC (mg/L) used is indicated below the x-axis. Bars and lines indicate the surviving cell number/mL on a logarithmic scale (log10) and the membrane potential inferred from the red/green fluorescence ratio. For each treatment time, a one-way ANOVA followed by Dunnett's test was employed to examine the differences in the fluorescence ratios after treatment with NaClO or a CAW preparation versus CAW treatment. Asterisks indicate statistically significant differences (p <0.05).
Figure 6.
Correlation between the number of surviving M. intracellulare cells and the membrane potential after treatment with CAW, a CAW preparation or NaClO. The FAC (mg/L) used is indicated below the x-axis. Bars and lines indicate the surviving cell number/mL on a logarithmic scale (log10) and the membrane potential inferred from the red/green fluorescence ratio. For each treatment time, a one-way ANOVA followed by Dunnett's test was employed to examine the differences in the fluorescence ratios after treatment with NaClO or a CAW preparation versus CAW treatment. Asterisks indicate statistically significant differences (p <0.05).
Figure 7.
Recovery of ATP production in M. intracellulare after bactericidal treatment. The FAC concentration (mg/L) used is indicated below the x-axis. The data are expressed as means ± standard errors from three independent repeats. The control indicates the group that was not treated with any of the disinfectants. The time-dependent differences in the luminescence intensities were examined within each treatment condition (type of disinfectant and FAC) by a one-way ANOVA followed by Dunnett's test (vs 0 h). Asterisks indicate statistically significant differences (p <0.05).
Figure 7.
Recovery of ATP production in M. intracellulare after bactericidal treatment. The FAC concentration (mg/L) used is indicated below the x-axis. The data are expressed as means ± standard errors from three independent repeats. The control indicates the group that was not treated with any of the disinfectants. The time-dependent differences in the luminescence intensities were examined within each treatment condition (type of disinfectant and FAC) by a one-way ANOVA followed by Dunnett's test (vs 0 h). Asterisks indicate statistically significant differences (p <0.05).
Figure 8.
ROS production in M. intracellulare after treatment with bactericidal reagents. Fluorescence intensity was monitored every 1 min after M. intracellulare labeled with DCFA was exposed to each reagent.
Figure 8.
ROS production in M. intracellulare after treatment with bactericidal reagents. Fluorescence intensity was monitored every 1 min after M. intracellulare labeled with DCFA was exposed to each reagent.