Submitted:
01 July 2025
Posted:
02 July 2025
You are already at the latest version
Abstract
Keywords:
1. Introduction
2. Materials and Methods
3. Results
3.1. Clinical Data
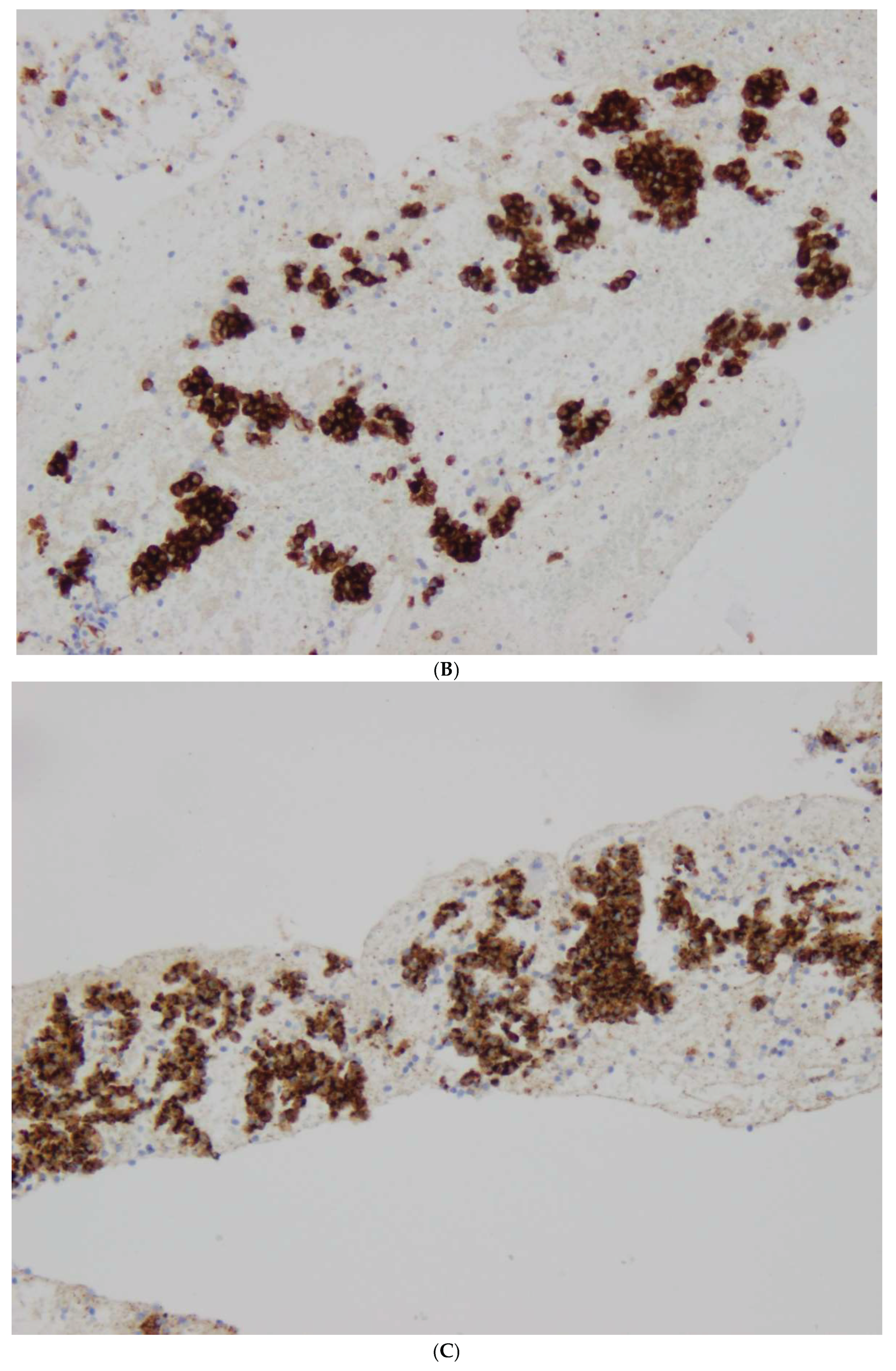
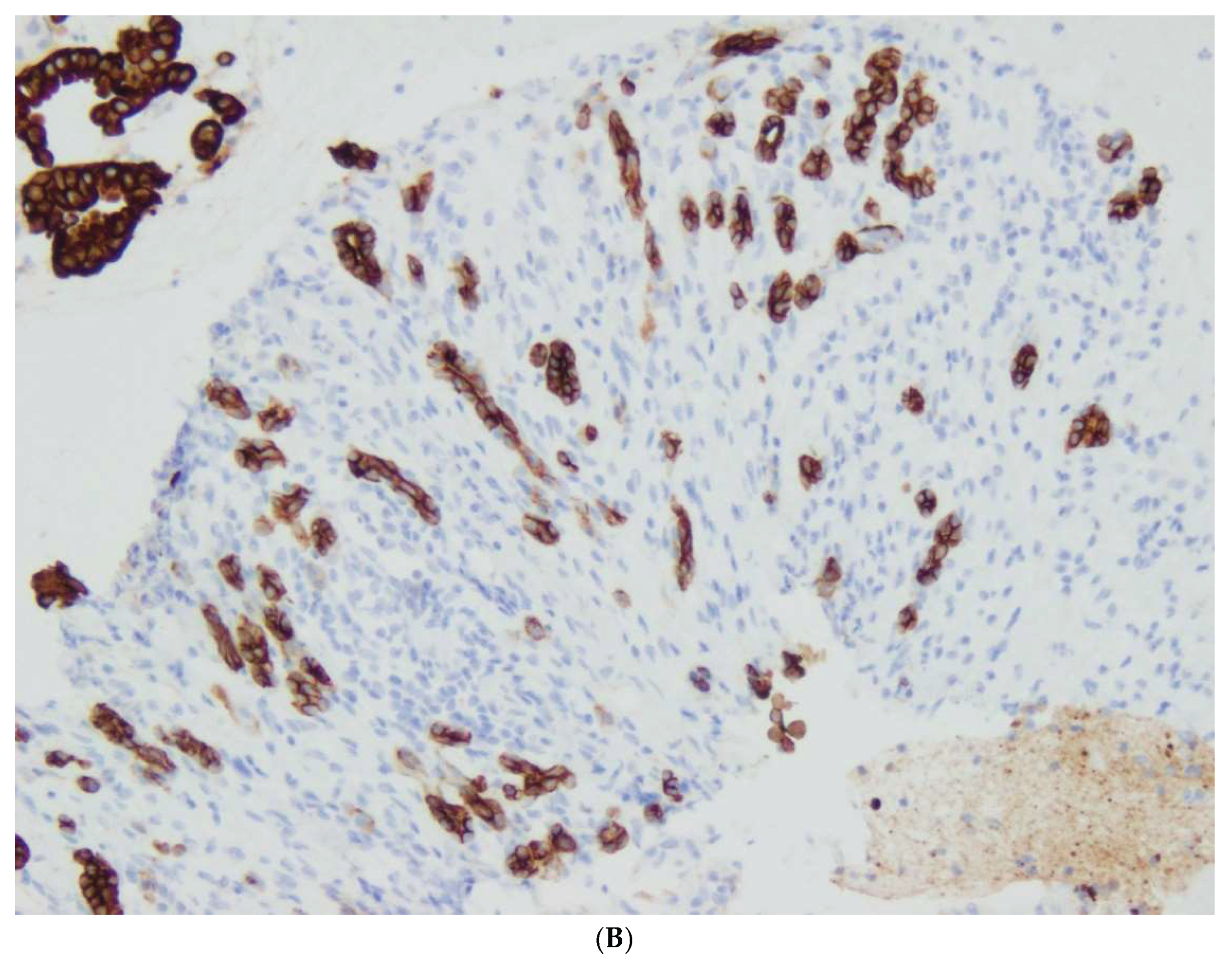
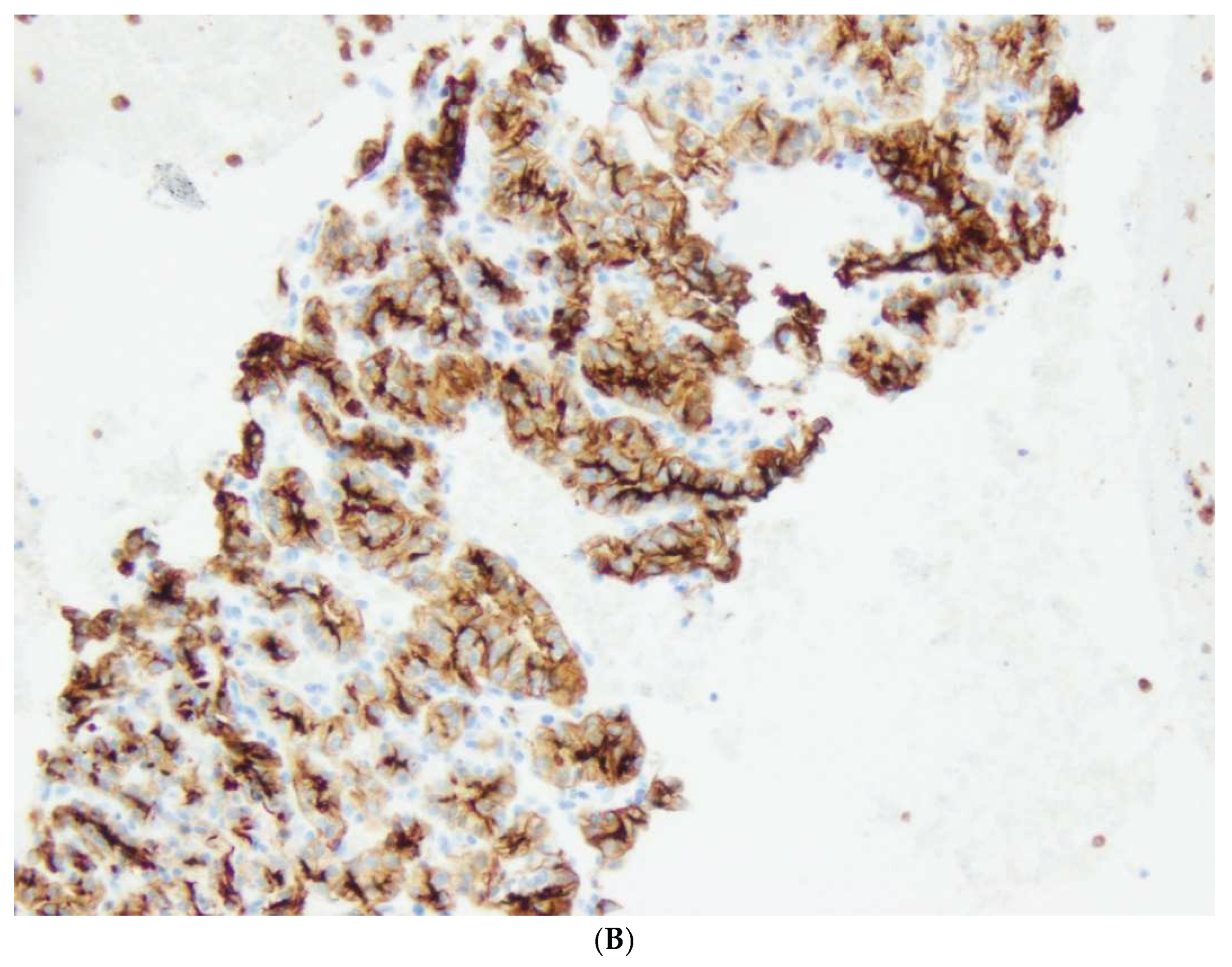
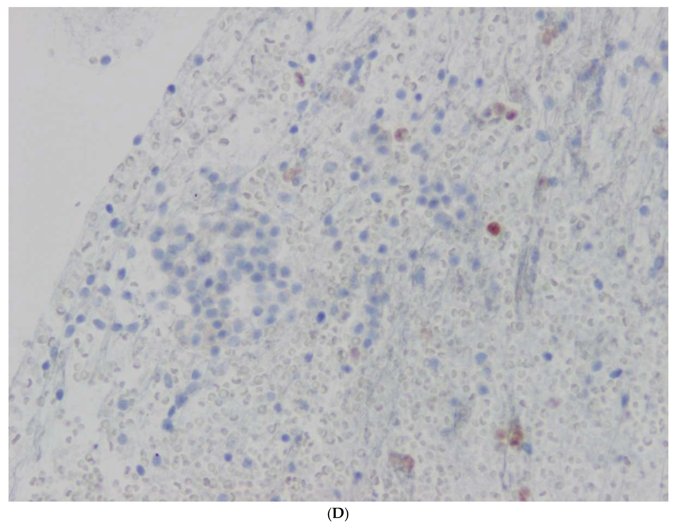
3.2. Pathomorphological Data
3.2.1. Pathomorphological Diagnosis of Specimen after da Vinci Robot-Assisted Surgery Method
3.2.2. Pancreatic Cancer Precursors
4. Discussion
5. Conclusions
Author Contributions
Funding
Conflicts of Interest
Abbreviations
| SPN | Solid Pseudopapillary Neoplasm |
| IPMN | Intraductal Papillary Mucinous Neoplasm |
| MCN | Mucinous Cystic Neoplasm |
| PanIN | Pancreatic Intraepithelial Neoplasia |
| SCN | Serous Cystic Neoplasm |
| pNEN | Pancreatic Neuroendocrine Neoplasm |
| PDAC | Pancreatic Ductal Adenocarcinoma |
References
- Dhar, J.; Samanta, J.; Nabi, Z.; Aggarwal, M.; Conti Bellocchi, M.C.; Facciorusso, A.; Frulloni, L.; Crinò, S.F. Endoscopic Ultrasound-Guided Pancreatic Tissue Sampling: Lesion Assessment, Needles, and Techniques. Medicina (Mex.) 2024, 60, 2021. [CrossRef]
- Hamada, T.; Oyama, H.; Takahara, N.; Nakai, Y.; Fujishiro, M. Role of Endoscopy in Clinical Management of Intraductal Papillary Mucinous Neoplasms. J. Gastroenterol. Hepatol. 2025, 40, 1045–1058. [CrossRef]
- Nagtegaal, I.D.; Odze, R.D.; Klimstra, D.; Paradis, V.; Rugge, M.; Schirmacher, P.; Washington, K.M.; Carneiro, F.; Cree, I.A.; WHO Classification of Tumours Editorial Board The 2019 WHO Classification of Tumours of the Digestive System. Histopathology 2020, 76, 182–188. [CrossRef]
- Basturk, O.; Adsay, N.V. Early Cancerous Lesions of the Pancreas and Ampulla. Gastroenterol. Clin. North Am. 2024, 53, 57–84. [CrossRef]
- Moris, D.; Liapis, I.; Gupta, P.; Ziogas, I.A.; Karachaliou, G.-S.; Dimitrokallis, N.; Nguyen, B.; Radkani, P. An Overview for Clinicians on Intraductal Papillary Mucinous Neoplasms (IPMNs) of the Pancreas. Cancers 2024, 16, 3825. [CrossRef]
- Lucocq, J.; Haugk, B.; Parkinson, D.; Darne, A.; Joseph, N.; Hawkyard, J.; White, S.; Mownah, O.; Menon, K.; Furukawa, T.; et al. Precursor Epithelial Subtypes of Adenocarcinoma Arising from Intraductal Papillary Mucinous Neoplasms (A-IPMN): Clinicopathological Features, Recurrence and Response to Adjuvant Chemotherapy. Ann. Surg. Oncol. 2024, 31, 7023–7032. [CrossRef]
- Park, M.A.; Gumpper-Fedus, K.; Krishna, S.G.; Genilo-Delgado, M.C.; Brantley, S.; Hart, P.A.; Dillhoff, M.E.; Gomez, M.F.; Basinski, T.L.; Mok, S.R.; et al. Molecular Pathway and Immune Profile Analysis of IPMN-Derived Versus PanIN-Derived Pancreatic Ductal Adenocarcinomas. Int. J. Mol. Sci. 2024, 25, 13164. [CrossRef]
- Luis, M.A.; Francisco, N. Robot-Assisted Corpo-Caudal Pancreatectomy and Splenectomy for Pancreatic Acinar Cell Carcinoma: A Case Report. J. Surg. Case Rep. 2025, 2025, rjaf112. [CrossRef]
- Liu, R.; Abu Hilal, M.; Besselink, M.G.; Hackert, T.; Palanivelu, C.; Zhao, Y.; He, J.; Boggi, U.; Jang, J.-Y.; Panaro, F.; et al. International Consensus Guidelines on Robotic Pancreatic Surgery in 2023. Hepatobiliary Surg. Nutr. 2024, 13, 89–104. [CrossRef]
- Celotto, F.; Ramacciotti, N.; Mangano, A.; Danieli, G.; Pinto, F.; Lopez, P.; Ducas, A.; Cassiani, J.; Morelli, L.; Spolverato, G.; et al. Da Vinci Single-Port Robotic System Current Application and Future Perspective in General Surgery: A Scoping Review. Surg. Endosc. 2024, 38, 4814–4830. [CrossRef]
- Chen, J.W.; van Ramshorst, T.M.E.; Lof, S.; Al-Sarireh, B.; Bjornsson, B.; Boggi, U.; Burdio, F.; Butturini, G.; Casadei, R.; Coratti, A.; et al. Robot-Assisted Versus Laparoscopic Distal Pancreatectomy in Patients with Resectable Pancreatic Cancer: An International, Retrospective, Cohort Study. Ann. Surg. Oncol. 2023, 30, 3023–3032. [CrossRef]
- Dreifuss, N.H.; Cubisino, A.; Schlottmann, F.; Giulianotti, P.C. Robotic-Assisted Central Pancreatectomy: A Minimally Invasive Approach for Benign and Low-Grade Lesions. Surg. Oncol. 2022, 41, 101736. [CrossRef]
- Zureikat, A.H.; Moser, A.J.; Boone, B.A.; Bartlett, D.L.; Zenati, M.; Zeh, H.J. 250 Robotic Pancreatic Resections: Safety and Feasibility. Ann. Surg. 2013, 258, 554–559; discussion 559-562. [CrossRef]
- Wei, K.; Cheng, L.; Zheng, Q.; Tian, J.; Liu, R.; Hackert, T. Minimally Invasive Surgery versus Open Surgery for Total Pancreatectomy: A Bibliometric Review and Meta-Analysis. HPB 2023, 25, 723–731. [CrossRef]
- Brada, L.J.H.; Schouten, T.J.; Daamen, L.A.; Seelen, L.W.F.; Walma, M.S.; van Dam, R.; de Hingh, I.H.; Liem, M.S.L.; de Meijer, V.E.; Patijn, G.A.; et al. Evaluation of Short- and Long-Term Outcomes After Resection in Patients with Locally Advanced versus (Borderline) Resectable Pancreatic Cancer. Ann. Surg. 2024, 281, 1026–1031. [CrossRef]
- Farrarons, S.S.; Van Bodegraven, E.A.; Sauvanet, A.; Hilal, M.A.; Besselink, M.G.; Dokmak, S. Minimally Invasive versus Open Central Pancreatectomy: Systematic Review and Meta-Analysis. Surgery 2022, 172, 1490–1501. [CrossRef]
- Aaquist, T.; Fristrup, C.W.; Hasselby, J.P.; Hamilton-Dutoit, S.; Eld, M.; Pfeiffer, P.; Mortensen, M.B.; Detlefsen, S. Prognostic Significance of Margin Clearance in Pancreaticoduodenectomy Specimens with Pancreatic Ductal Adenocarcinoma in a Danish Population-Based Nationwide Study. HPB 2023, 25, 826–835. [CrossRef]
- Mas, L.; Lupinacci, R.M.; Cros, J.; Bachet, J.-B.; Coulet, F.; Svrcek, M. Intraductal Papillary Mucinous Carcinoma Versus Conventional Pancreatic Ductal Adenocarcinoma: A Comprehensive Review of Clinical-Pathological Features, Outcomes, and Molecular Insights. Int. J. Mol. Sci. 2021, 22, 6756. [CrossRef]
- Ishizuka, M.; Shibuya, N.; Hachiya, H.; Nishi, Y.; Kono, T.; Takayanagi, M.; Nemoto, T.; Ihara, K.; Shiraki, T.; Matsumoto, T.; et al. Robotic Surgery Is Associated with a Decreased Risk of Circumferential Resection Margin Positivity Compared with Conventional Laparoscopic Surgery in Patients with Rectal Cancer Undergoing Mesorectal Excision: A Systematic Review and Meta-Analysis. Eur. J. Surg. Oncol. J. Eur. Soc. Surg. Oncol. Br. Assoc. Surg. Oncol. 2024, 50, 108538. [CrossRef]
- Kos-Kudła, B.; Castaño, J.P.; Denecke, T.; Grande, E.; Kjaer, A.; Koumarianou, A.; De Mestier, L.; Partelli, S.; Perren, A.; Stättner, S.; et al. European Neuroendocrine Tumour Society ( ENETS ) 2023 Guidance Paper for Nonfunctioning Pancreatic Neuroendocrine Tumours. J. Neuroendocrinol. 2023, 35, e13343. [CrossRef]







| Category | Subtype | Number of cases |
|---|---|---|
|
Neuroendocrine tumor | 32 (23%) |
|
Ductal Adenocarcinoma | 20 (14%) |
| Intraductal Papillary Mucinous Neoplasm with invasive carcinoma | 4 (3%) | |
| Acinar cell carcinoma | 1 (1%) | |
| Solid Pseudopapillary neoplasm | 9 (6%) | |
| Metastases | 4 (3%) | |
|
Intraductal Papillary Mucinous Neoplasm, Mucinous Cystic Neoplasm Pancreatic Intraepithelial Neoplasia |
36 (25%) |
| Serous Cystadenoma | 18 (13%) | |
| Non-neoplastic lesions | 17 (12%) |
| Group | Grading [G] | Staging TNM [T] | Staging TNM [N] | Resection status | ||||||||||||||
|---|---|---|---|---|---|---|---|---|---|---|---|---|---|---|---|---|---|---|
| G1 | G2 | G3 | no data | T1 | T2 | T3 | T4 | no data | N0 | N1 | N2 | Nx | no data | R0 | R1 | R2 | no data | |
| 1.* | 20 | 10 | 2 | - | 15 | 11 | 5 | 1 | - | 18 | 4 | - | 10 | - | 28 | 4 | - | - |
| 2a.** | 6 | 15 | 3 | 1 | 5 | 10 | 10 | - | - | 10 | 9 | 3 | 3 | - | 13 | 10 | 2 | - |
| 2b.*** | - | - | - | 9 | 1 | 1 | 2 | - | 5 | 4 | - | - | - | 5 | 6 | 1 | 2 | - |
| 2c.**** | 1 | - | 1 | 2 | - | - | - | - | 4 | - | - | - | - | 4 | 4 | - | - | - |
Disclaimer/Publisher’s Note: The statements, opinions and data contained in all publications are solely those of the individual author(s) and contributor(s) and not of MDPI and/or the editor(s). MDPI and/or the editor(s) disclaim responsibility for any injury to people or property resulting from any ideas, methods, instructions or products referred to in the content. |
© 2025 by the authors. Licensee MDPI, Basel, Switzerland. This article is an open access article distributed under the terms and conditions of the Creative Commons Attribution (CC BY) license (http://creativecommons.org/licenses/by/4.0/).