Submitted:
26 January 2025
Posted:
27 January 2025
You are already at the latest version
Abstract
For this article, a review of the literature on the presence of injury to the basilar artery, its main and perforating branches in head trauma was carried out. In addition, the author's experience in the treatment of this type of patients was considered. The bibliographic search shows that there are few references on the subject, which is why we are probably treating many more traumatic lesions of the basilar artery than those we diagnose.
Keywords:
Cover Letter
1. Introduction
2. Relevant Sections
Brief Microanatomical Description of the Basilar Artery
3. Discussion
3.1. Clinical Picture
3.2. Complementary Exams
- Simple and contrasted CT scan of the skull.
- Vascular opacification studies: (AngioTAC, Angio MRI, digital subtraction angiography).
- Magnetic Resonance images.
- Transcranial Doppler.
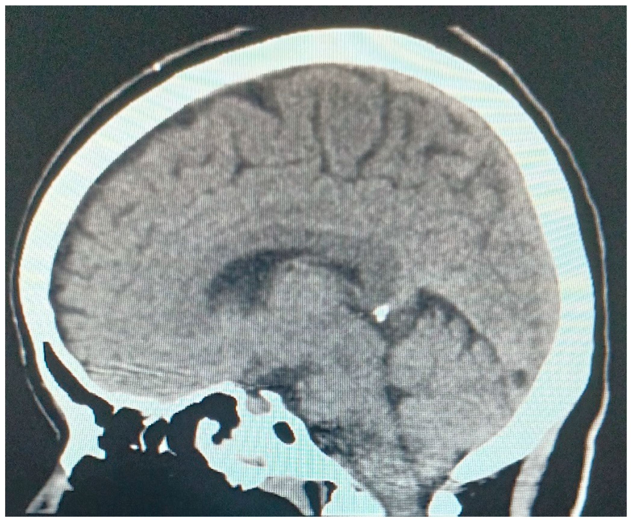
- Simple and contrast-enhanced computed tomography is an examination that can help in the diagnosis in the acute phase between a hemorrhagic or ischemic vascular lesion (Figure 1).
3.3. Treatment
Author Contributions
Conflicts of Interest
References
- Yamaoka, A.; Miyata, K.; Bunya, N.; Mizuno, H.; Irifune, H.; Yama, N.; et al. Traumatic Basilar Artery Entrapment without Longitudinal Clivus Fracture: A Case Report and Review of the Literature. Neurol Med Chir (Tokyo) 2018, 58, 362–367. [Google Scholar] [CrossRef] [PubMed]
- Jha, A.K.; Kumar, J.; Harsh, V.; Kumar, A. Penetrating injury of the posterior cranial fossa by a stone. Neurol India 2016, 64, 1081–1082, Available from: https://www.neurologyindia.com/text.asp? 2016/64/5/1081/190272. [Google Scholar] [CrossRef] [PubMed]
- Moyer, J.D.; Dioguardi Burgio, M.; Abback, P.S.; Gauss, T. Isolated basilar artery dissection following blunt trauma challenging the Glasgow coma score: A case report. Am J Emerg Med 2021, 47, 347.e1–347.e3. [Google Scholar] [CrossRef] [PubMed]
- Cárdenas Ruiz-Valdepeñas, E.; Kaen, A.; Tirado-Caballero, J.; Di Somma, A.; Iglesias Pais, M.; Vázquez Domínguez, M.; et al. Basilar Artery Injury During Endonasal Surgery: Stepwise to Control Bleeding. Oper neurosurg (hagerstown). 2021, 20, 282–288. [Google Scholar] [CrossRef] [PubMed]
- Beucler, N.; Cungi, P.J.; Dagain, A. Duret Brainstem Hemorrhage After Transtentorial Descending Brain Herniation: A Systematic Review and Meta-Analysis. World Neurosurg. 2023, 173, 251–262.e4. [Google Scholar] [CrossRef] [PubMed]
- Rhoton, A.L. The cerebellar arteries. Neurosurgery 2000, 47 (Suppl 3), S29–S68. [Google Scholar] [CrossRef] [PubMed]
- Kliesch, S.; Bauknecht, C.; Bohner, G.; et al. BMJ Case Rep 2016 Published online: [7 de Julio del 2023]. [CrossRef]
- Balshaw, J.; Nicholls, M.; Tsai, Y.; Chaganti, J. Post traumatic herniation of basilar artery into sphenoid sinus with preserved arterial flow-an unusual complication. Interdisciplinary Neurosurgery: Advanced Techniques and Case Management 2021, 25, 101268. [Google Scholar] [CrossRef]
- Schmidt, R.H. Use of a microvascular doppler probe to avoid basilar artery injury during endoscopic third ventriculostomy. Technical note. J Neurosurg. 1999, 90, 156–159. [Google Scholar] [CrossRef] [PubMed]
- Laing, B.R.; Hedayat, H.S. Basilar artery incarceration secondary to a longitudinal clivus fracture: A rare and favorable outcome of an often devastating injury. Surg Neurol Int 2022, 13, 107. [Google Scholar] [CrossRef] [PubMed]
- Lagrand, T.J.; Bruijnes, V.A.J.; Van der Stouwe, A.M.M.; Deckers, E.A.; Mazuri, A.; et al. Locked-In Syndrome after Traumatic Basilar Artery Entrapment within a Clivus Fracture: A Case Report and Review of the Literature. Neurotrauma Reports 2020, 1.1, 73–77. [Google Scholar] [CrossRef] [PubMed]
- Piriz Assa, A.R.; Abdo Cuza, A.; De la Cruz De la Cruz, H.R. Ecografía Doppler transcraneal para estimar la presión intracraneal y presión de perfusión cerebral en pacientes pediátricos neurocríticos. Rev Cuban Pediatr. [Internet]. 2022, 94, e1597, Disponible en: http://www.revpediatria.sld.cu/index.php/ped/article/view/1597. [Google Scholar]
- Camilo, N. Rodríguez and Ryan Splittgerber Transcranial Doppler (TCD) and Trancranial Color-Coded Duplex Sonography (TCCS): Applied Neuroanatomy.. In: Rodríguez CN, Baracchini C, Mejía Mantilla JH, Czosnyka M, Suárez JI, Csiba L, Pupo, C., Bartels, E., editors. Neurosonology in Critical Care. Cham 7: Springer; 2022, 905–919.
- Puzio, T.J.; Murphy, P.B.; Kregel, H.R.; Ellis, R.C.; Holder, T.; Wandling, M.W.; et al. Delayed Intracranial Hemorrhage Following Blunt Head Trauma While on Direct Oral Anticoagulants: A Systematic Review and Meta-analysis. J Am Coll Surg. 2021, 232, 1007–1016.e5. [Google Scholar] [CrossRef] [PubMed]
- Lacerda Gallardo, A.J.; Abreu Pérez, D. Craniectomía descompresiva en el neurotrauma grave. An Acad Cienc Cuba [internet] 2022, 12, e1185, http://www.revistaccuba.cu/index.php/revacc/article/view/1185. [Google Scholar]
- Rubiano, A.M.; Maldonado, M.; Montenegro, J.; Restrepo, C.M.; Khan, A.A.; Monteiro, R.; et al. The Evolving Concept of Damage Control in Neurotrauma: Application of Military Protocols in Civilian Settings with Limited Resources. World Neurosurg. 2019, 125, e82–e93. [Google Scholar] [CrossRef] [PubMed]
- Ahmed, S.U.; Kelly, M.E.; Peeling, L. Endovascular retrieval of bullet fragment from the basilar artery terminus. J Neurointerv Surg. 2022, 14, 1042–1044. [Google Scholar] [CrossRef] [PubMed]
- Kanamori, F.; Yamanouchi, T.; Kano, Y.; Koketsu, N. Endovascular intervention in Basilar Artery Entrapment within the Longitudinal Clivus Fracture: A Case Report. Neurol Med Chir (Tokyo) 2018, 58, 356–361. [Google Scholar] [CrossRef] [PubMed]

Disclaimer/Publisher’s Note: The statements, opinions and data contained in all publications are solely those of the individual author(s) and contributor(s) and not of MDPI and/or the editor(s). MDPI and/or the editor(s) disclaim responsibility for any injury to people or property resulting from any ideas, methods, instructions or products referred to in the content. |
© 2025 by the authors. Licensee MDPI, Basel, Switzerland. This article is an open access article distributed under the terms and conditions of the Creative Commons Attribution (CC BY) license (http://creativecommons.org/licenses/by/4.0/).